Статті

ОДНОЧАСНЕ СТВОРЕННЯ БІЛОЇ ТА РОЖЕВОЇ ЕСТЕТИКИ

За останні 10 років, прагнучи відповідати загальноприйнятій тенденції мінімально інвазивного лікування і зменшення болю під час хірургічного втручання, техніка проведення пластичних операцій на пародонті зазнала суттєвих змін. Водночас ми спостерігаємо й іншу тенденцію, а саме скорочення кількості повторних візитів пацієнтів у процесі одного лікування.

Основне питання полягає в тому, чи покращиться якість, якщо ці дві тенденції поєднати.

Цю статтю написано для того, щоб показати сучасний підхід і продемонструвати його зв'язок з давніми науковими даними, які лягли в основу (Ландсберг, Bichacho, 1993 р. Концепція контурування пришийкової зони) одномоментної операції на м'яких тканинах з установкою протеза, щоб протез служив опорою для сполучнотканинного трансплантата, а кінцевий результат виглядав краще. В основі такого підходу лежить техніка установки імплантата у фронтальній зоні, коли форма абатмента задає контур ясенного трансплантата у процесі його приживлення (інформація отримана від Eric Van Dooren).

 

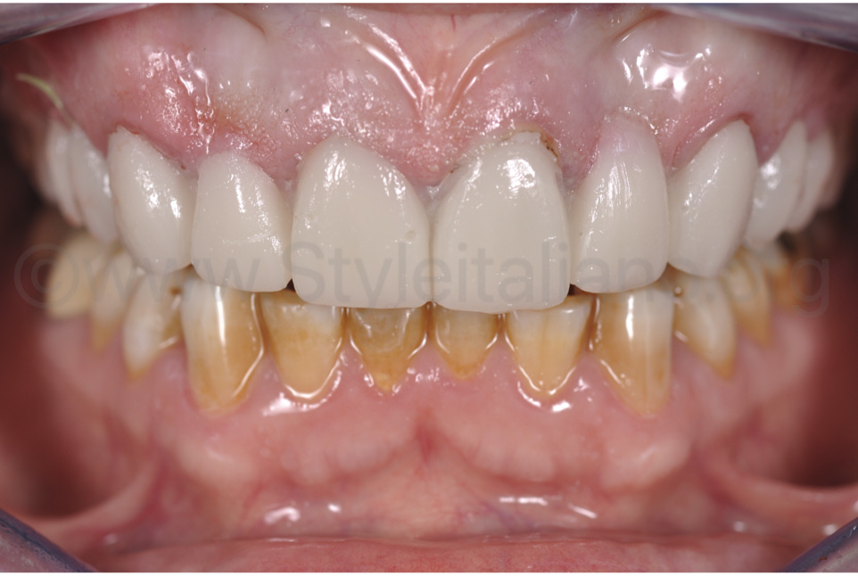
Фото 1.

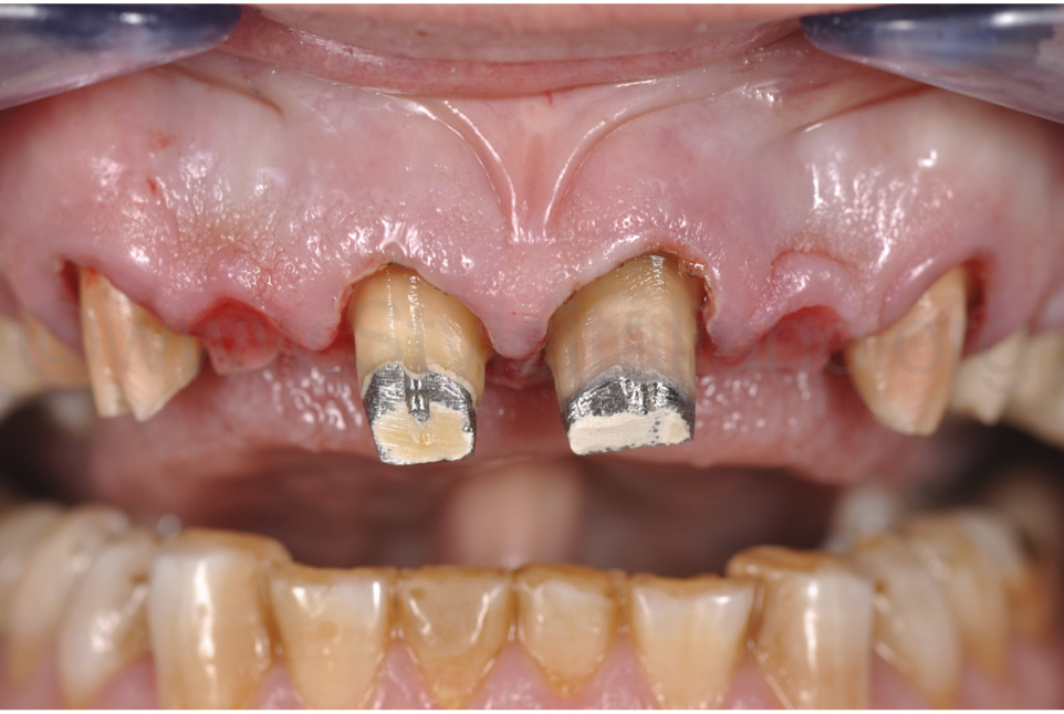
55-річна пацієнтка звернулася по консультацію стосовно заміни старого металокерамічного мостоподібного протеза. 

Фото 2.

На рентгенограмі хронічних інфекцій в області девітальних зубів не виявлено. Перший запропонований план лікування передбачав повне відновлення всіх зубів, оскільки вони суттєво зносилися, але пацієнтка не погодилася через матеріальні обставини. Другий план передбачав відновлення верхнього зубного ряду, щоб можна було збільшити вертикальний вимір оклюзії та отримати змогу покращити естетичний результат.

Заплановано встановити мостоподібний протез із шести елементів – від зуба 13 по 23, коронки – на зубах 24, 25, 14, 15, та оклюзійні вініри – 16, 17, 26, 27. Стосовно ясенної естетики, необхідно провести невелику гінгівектомію, щоб покращити вигляд плоскої пришийкової зони зуба 21. Приясенний профіль зубів 22 та 12 слід формувати дуже ретельно, щоб він мав ідеальний вигляд. 

Фото 3.

Якщо розглядати з оклюзійного боку, можна легко помітити, що ясна у зоні двох бічних різців увігнуто. Це слід виправити за допомогою пластичної операції. 

Фото 4.

Зроблено wax-up відновленого зубного ряду з новим дизайном пришийкових зон. 

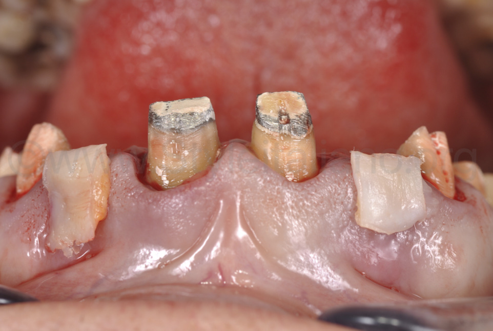
Фото 5.

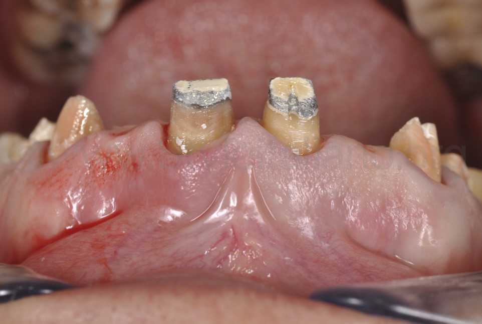
Видалено старі реставрації, та виконано повторне препарування зубів і контурування ясен. 

Фото 6.

Відбиток знято у двоетапній техніці putty-wash з використанням матеріалів light body та putty (Honigum Mixstar Heavy, Honigum Light, DMG, м. Гамбург). 

Фото 7.

Щоб швидко виготовити тимчасові конструкції, за естетичним wax-up було виготовлено силіконовий ключ (Honigum Putty Soft і Homigum Light, DMG, м. Гамбург). Цей ключ було підрізано у пришийковій зоні, щоб можна було легко помітити та видалити зайвий композит і виготовити тимчасову конструкцію протягом 5 хвилин. 

Фото 8.

У цьому випадку для виготовлення максимально естетичних тимчасових реставрацій було використано матеріал нового покоління. Цей новий композит є набагато міцнішим за всі інші матеріали, які випускаються у шприцах, і має високий опір стиранню, зокрема у разі бруксизму. З нього також можна виготовляти напівпостійні реставрації, які випробовуватимуться протягом тривалого часу, у випадках коли є значне збільшення висоти прикусу (більше 5 мм у фронтальній зоні).

(LuxaCrown DMG, м. Гамбург) 

Фото 9.

За три місяці після цього, завдяки дуже простим процедурам полірування, оптичним властивостям матеріалу та його стабільності, текстура поверхні виглядає дуже задовільно. До того ж, таке зручне, просте та швидке полірування попереджає формування біоплівки й нальоту. Через недостатній об’єм ясен, обидва бічні різці є занадто великими у пришийковій зоні, щоб це компенсувати. Але цей недолік буде виправлено під час встановлення керамічної реставрації.

Фото 10.

Після видалення тимчасових реставрацій можна помітити, що ясна здорові та кератинізовані, і це сприятиме доброму прогнозу встановлення сполучнотканинного трансплантата. 

Фото 11.

Деепітелізований сполучнотканинний трансплантат взято у техніці Zuchelli з піднебінної зони ясен навколо зубів 6 і 7. Потім один великий трансплантат було розрізано на дві різні половини за розмірами акцепторних ділянок, щоб ними усунути дефект у щічній зоні.

На альвеолярному гребні було зроблено лише один простий надріз, щоб не утворився клапоть. Тканину для з’єднання ввели під ясна – у простір, який завчасно підготували за допомогою мікрохірургічних інструментів. Після створення м’якотканинного об’єму з обох боків перевіряють посадку реставрації, щоб переконатися, що обидва бічні різці ідеально виступають і добре притискають ясна.

Після перевірки посадки керамічний мостоподібний протез фіксується модифікованим склоіономерним композитним цементом. 

Фото 12.

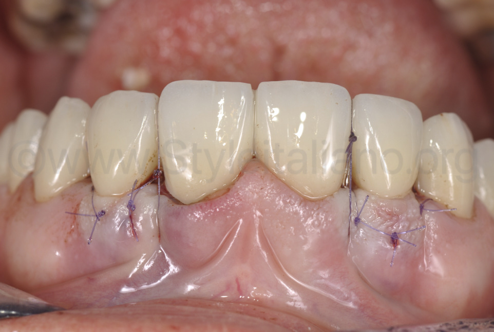
Після фіксації керамічної реставрації, було накладено підвісні шви, щоб вони підтягували сполучнотканинний трансплантат та поверхневу оболонку в напрямку коронки. 

Фото 13.

Одразу після завершення операції можна було помітити ефект збільшення об’єму ясен внаслідок введення сполучнотканинного трансплантата, що значною мірою покращило зовнішній вигляд. Отже, можна відразу створювати ідеальну бажану форму зубів, заплановану на wax-up, а потім клінічну ситуацію адаптувати до неї. Повторимо, загоєння ясен залежатиме від форми зубів. Тому ми вважаємо, що проведення пластичної операції одночасно зі встановленням кінцевої реставрації позитивно впливає на кінцевий результат лікування. 

Фото 14.

Окрема подяка керамісту Wilfrid Pertot (м. Марсель), який зі мною співпрацює. 

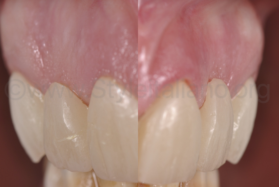
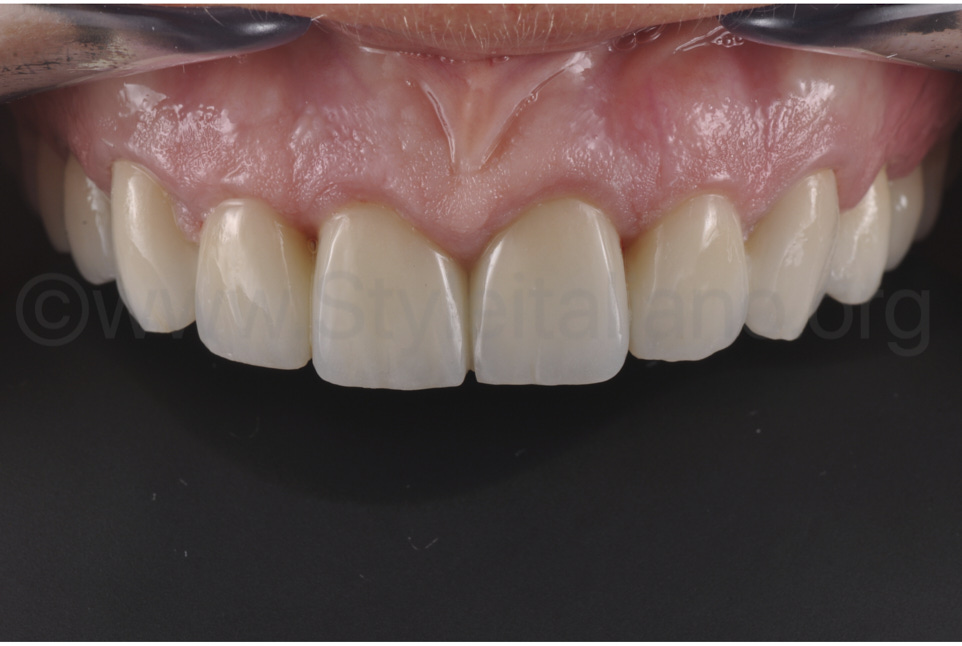
Фото 15.

Вигляд збоку, з ідеальним ясенним профілем. Процес загоєння проходив відповідно до форми країв керамічної реставрації. 

Фото 16.

Вигляд з іншого боку, з ідеальним ясенним профілем і таким самим зубоясенним переходом. 

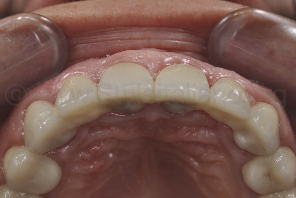
Фото 17.

Вигляд оклюзії з однаково опуклими твердими та м’якими тканинами.

 

ВИСНОВОК

З цієї статті випливає, будь-яке естетичне лікування повністю залежить від mock-up .

Як ми бачимо, техніка виготовлення mock-up надає багато переваг:

1) візуалізація кінцевого результату (естетична та функціональна);

2) рівень видалення тканин із фронтального та оклюзійного боку для встановлення вінірів;

3) тимчасові реставрації виготовляються швидко й легко.

 

ЛІТЕРАТУРА

Koubi S, Gurel G, Margossian P, Massihi R, Tassery H.

A Simplified Approach for Restoration of Worn Dentition Using the Full Mock-up Concept: Clinical Case Reports.

Int J Periodontics Restorative Dent. 2018 Mar/Apr;38(2):189-197.

Gurel G.

Predictable, precise, and repeatable tooth preparation for porcelain laminate veneers.

PractProcedAesthet Dent. 2003; 15(1): 17-24

Magne P, Magne M.

Use of additive wax-up and direct intraoral mock-up for enamel preservation with porcelain laminate veneers.

Eur J Esthet Dent. 2008; 1(1): 10-19.

Vailati F, Belser U

Classification and treatment of anterior maxillary dentition affected by dental erosion: the ACE classification

Int J Periodontics Restorative Dent. 2010 Dec;30(6):559-71.S Koubi,/ 

Опублікувати 01.12.2020
До разделу