Статті

ЯК ОТРИМАТИ ІДЕАЛЬНИЙ ЗОВНІШНІЙ ВИГЛЯД РЕСТАВРАЦІЙ РІЗНИХ ТИПІВ

Відновлення фронтальних зубів і надання їм ідеального зовнішнього вигляду являє собою найскладнішу задачу, якщо початковий стан таких зубів не є однаковим. Протягом останніх сорока років для досягнення естетичного вигляду фронтальної групи зубів використовували вініри, тобто заново створювали колір і морфологію зубів у мінімально інвазивній техніці. Найбільш поширеною є ситуація, коли стара коронка знаходиться практично у центрі всієї композиції посмішки. Тоді задача стоматолога й зубного техніка полягає в тому, щоб вінір відповідав цій коронці за кольором, і тому ключем до підвищення естетичності результату є оцінка стану тканин опорних зубів та їхнього кольору.

Цю статтю написано з метою привернути вашу увагу до клінічної стратегії та методики забезпечення оптимальної відповідності реставрацій різних типів. Також у ній йдеться про застосування волоконного штифта з композитом подвійного твердіння в один прийом.

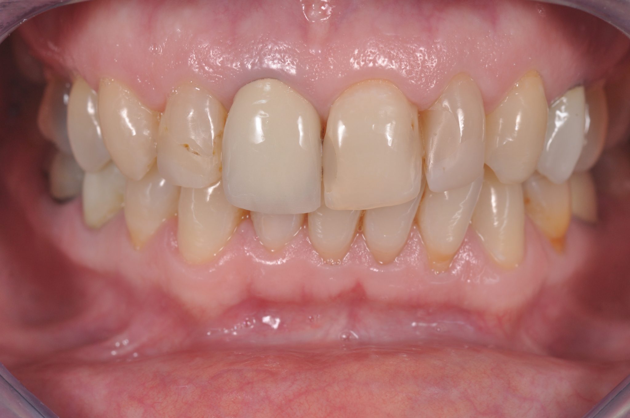
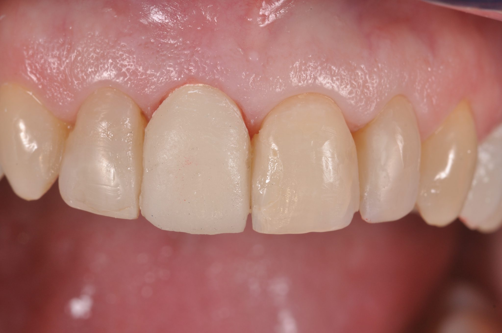
Фото 1. Зовнішній вигляд зубів 38-річної пацієнтки: численні композитні пломби та неестетичні коронки на зубах 11 і 24.Вона хотіла змінити вигляд посмішки. Патологій та захворювань виявлено не було. Оклюзія була стабільною. Було затверджено нижченаведений план лікування:

1. Замінити наявні композитні пломби новими одноколірними (дентин-тіло) реставраціями, щоб забезпечити вдаліший оптичний перехід до тканин зубів після їх підготовки під вініри.

2. Видалити металеву коронку й анкерний штифт, потім відтворити куксу за допомогою волоконного штифта, використовуючи адгезивні технології, щоб отримати більш однорідні кукси. Спробувати оптимізувати колірну відповідність, використовуючи для виготовлення остаточної реставрації склокераміку того ж типу, що і для виготовлення вінірів.

3. Виготовити вініри й коронки для зубів від 13 до 24 з одного матеріалу (Ivoclar Vivadent, IPS e.max LT), щоб колір різних реставрацій був однорідним.

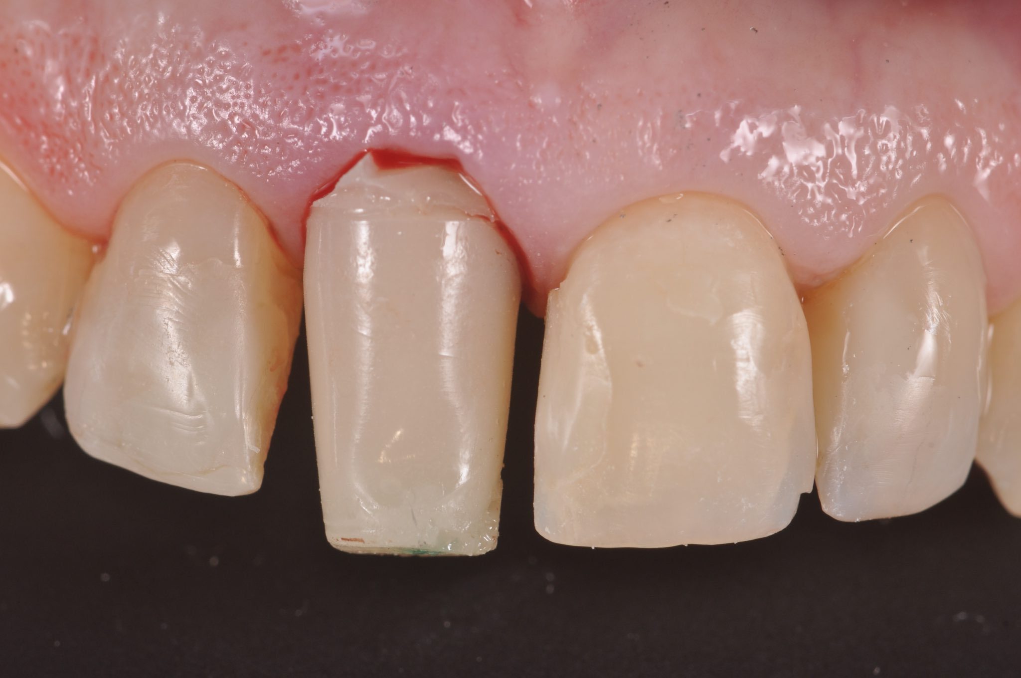
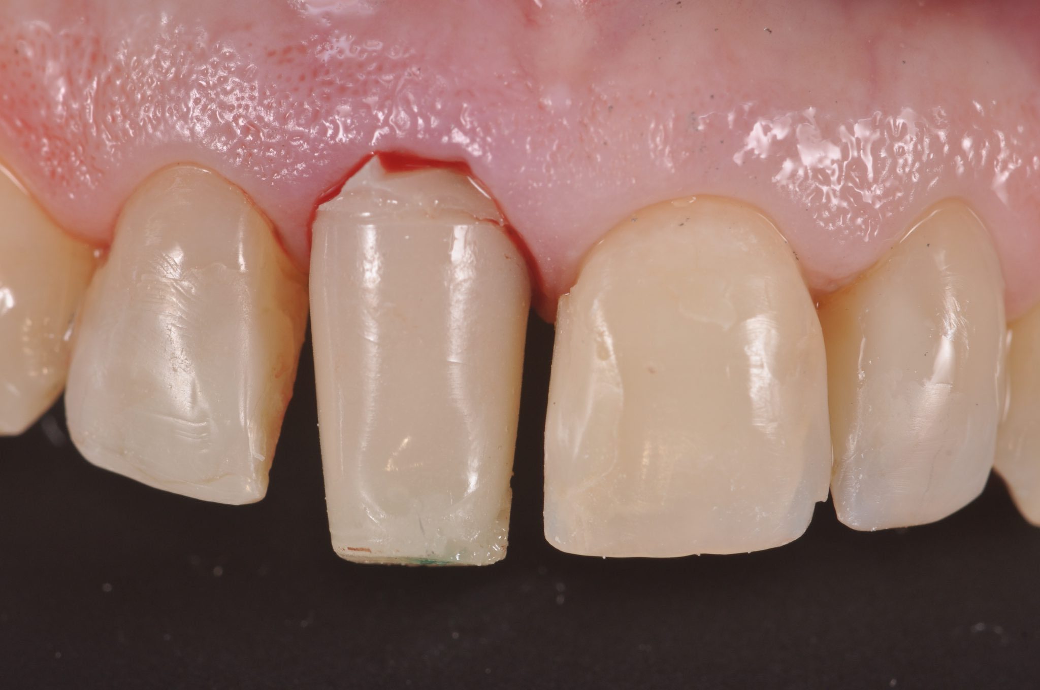
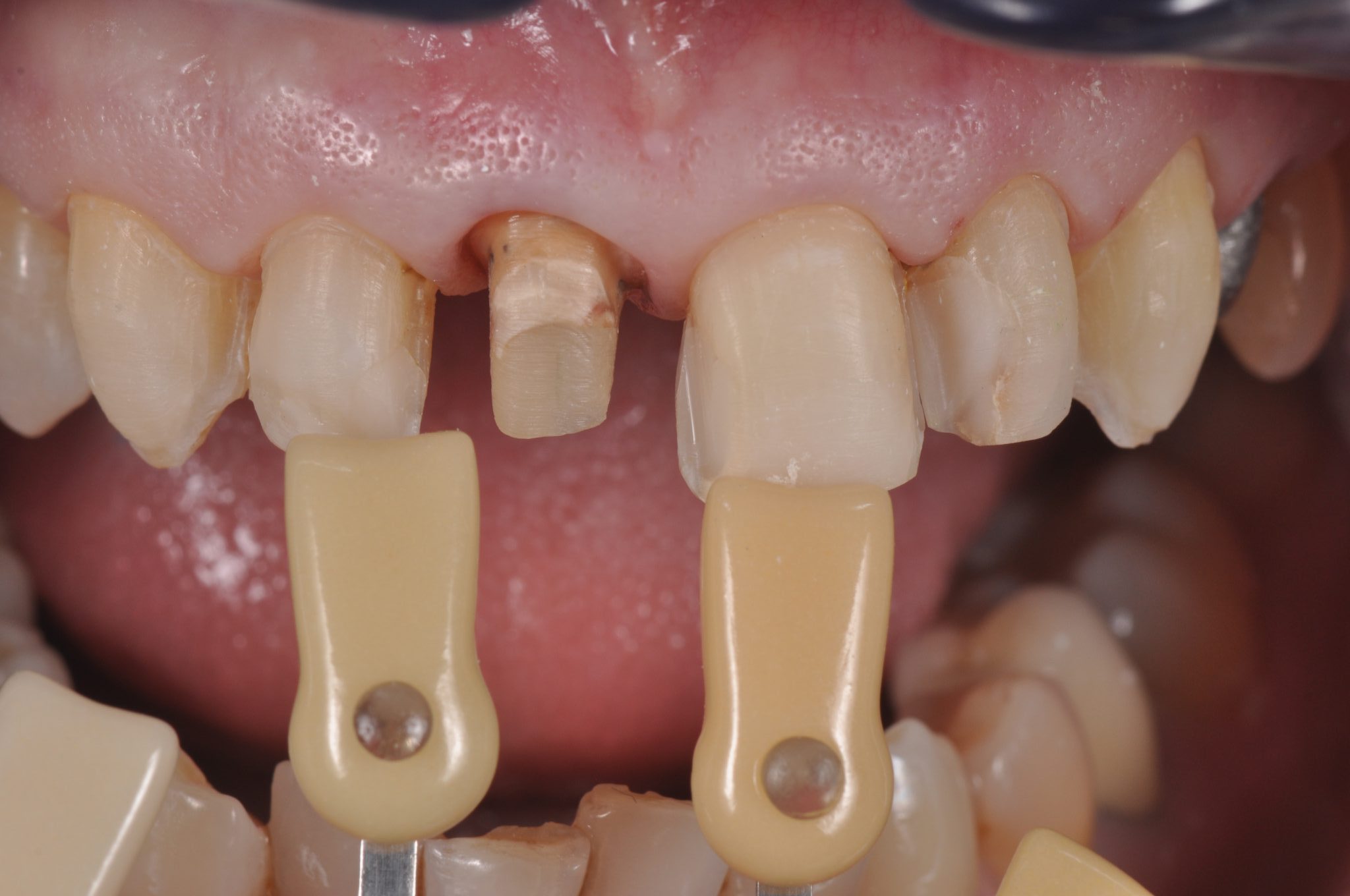
Фото 2. Як зазначено у плані лікування, перша дія передбачає заміну наявних пломб, в яких спостерігаються біологічні та естетичні вади, новими пломбами, які відповідають запланованому результату. Для встановлення одноколірних реставрацій класу III на зубах 12, 21 і 22 використовували композитний матеріал дентинного відтінку (Ivoclar Vivadent, Empress Direct, Dentin A1). Ці зуби надалі будуть трохи відпрепаровані під вініри, і тому важливо, щоб пломби на проксимальних поверхнях були напівопаковимі, адже це дозволить уникнути естетичної невідповідності тканин зубів під вестибулярними вінірами товщиною 0,5 мм, які будуть виготовлені потім.Фото 3. Потім були видалені старі коронки. Як це часто буває за наявності старих, зафіксованих цементом реставрацій, сталася бактеріальна інфільтрація у пришийковій зоні, і тому виникла чорна лінія, а крізь композит просвічувалася корозія, що утворилася на штифті.Фото 4. Композит акуратно видаляється, а анкерний штифт вигвинчується за допомогою ультразвукового наконечника (Mectron), щоб зберегти зубні тканини у пришийковій зоні.Фото 5. Зуб відновлюється за допомогою волоконного штифта у техніці «все в одному», тобто корінь і коронкову частину заповнюють одним матеріалом, який гарантує максимальну однорідність і біомеханічну цілісність.У цьому випадку використовували матеріали DMG: LuxaPost, LuxaCore Z-Dual і LuxaBond-Total Etch спільно з куксовою матрицею.

Фото 6. Як зазначено вище, оптичні характеристики матеріалу і техніка «все в одному» дозволили надати куксі більшу однорідність.Фото 7. Композит LuxaCore Z-Dual – це універсальний матеріал для повсякденної практики. Його можна використовувати не тільки для фіксації волоконних штифтів і створення кукси, але також і для усунення глибоких порожнин II класу, де істотним приводом для занепокоєння є полімеризаційний стрес (порожнини на проксимальних поверхнях глибиною 3-4 мм).Цей матеріал представлено двома формами:

• картридж, для якого потрібен диспенсер;

• «розумний» шприц.

В обох випадках можна використовувати T-mixer colibri – зручний інструмент для точного введення матеріалу.

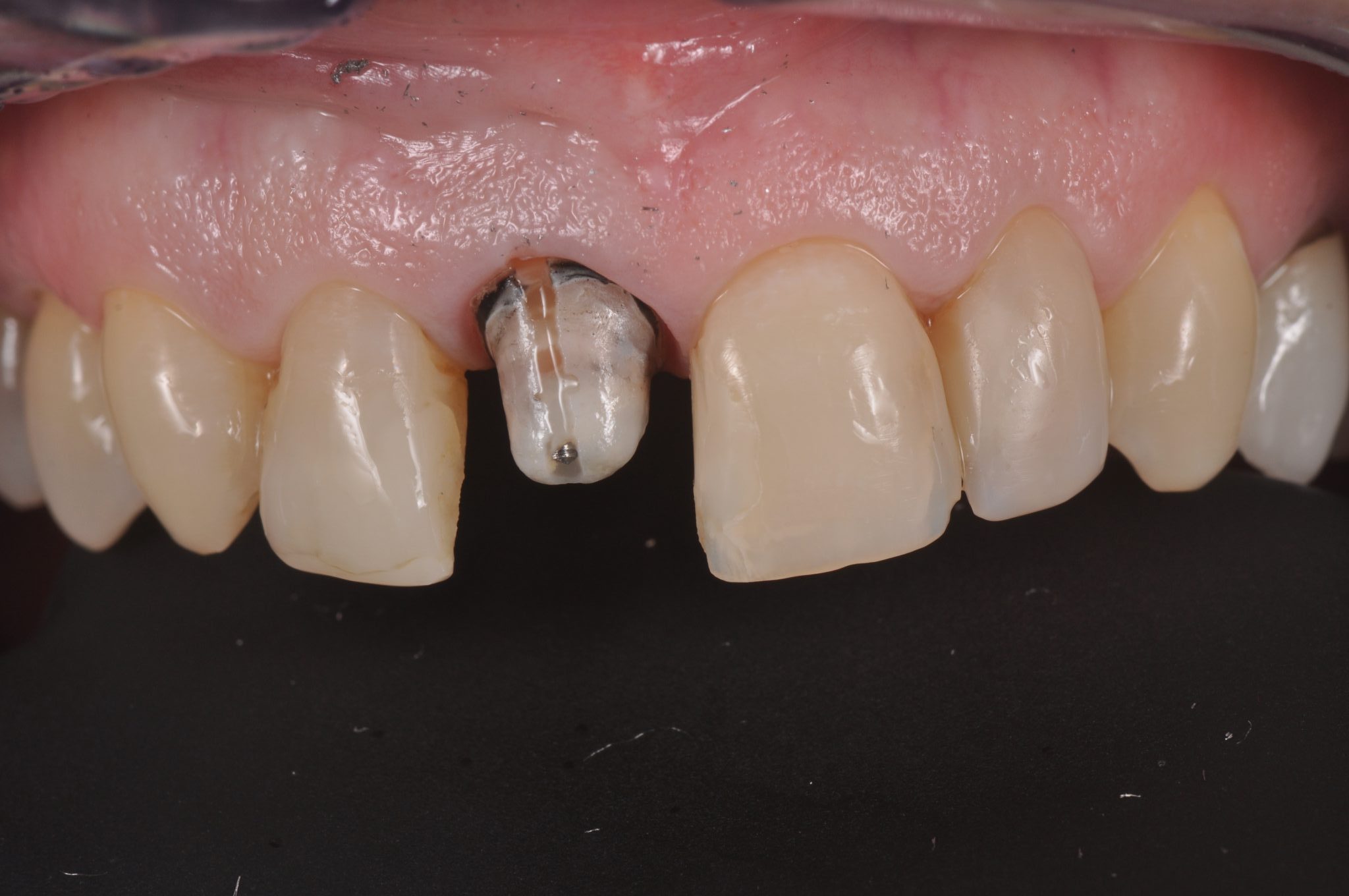
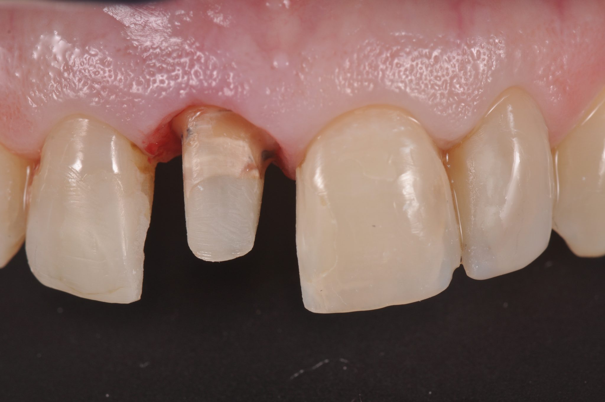
Фото 8. У процесі препарування під коронку у пришийковій зоні видаляється шар товщиною 1,5 мм, щоб майстер-кераміст мав більше нагод закрити наявну там суттєву дисхромію.Для виготовлення вінірів і коронки буде використана заготівля Ivoclar Vivadent e.max LT A1. Єдиною відмінністю буде товщина коронки та вінірів. Щоб коронка не набула сіруватого відтінку через більшу товщину й транслюцентність злитка, майстер-кераміст скористається порошком deep dentin з певним рівнем опаковості, і таким чином приведе колір каркаса реставрації у відповідність із кольором сусідніх зубів. Облицювання вінірів і коронки має бути однаковим, адже це дозволяє контролювати однорідність кольору різних реставрацій.

Фото 9. Потрібно обов'язково передавати фотографії до лабораторії, особливо у таких складних випадках, як цей, коли підлеглі тканини не підібрані за кольором.Перш за все, зареєструйте колір оброблених зубів за спеціальною шкалою відтінків кукс (завжди представляйте 2 варіанти). Потім запишіть, який відтінок мають нижні зуби за шкалою VITA, щоб за ним підібрати колір остаточної реставрації.

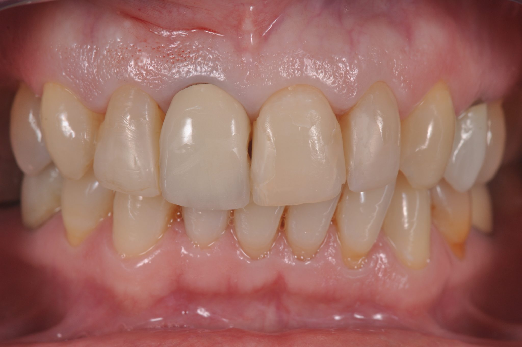
Фото 10. З особистих причин протягом 3-х місяців пацієнтка не мала нагоди прийти на прийом, щоб відпрепарувати зуби під вініри, і тому ми вирішили зробити тимчасову коронку з LuxaCrown від DMG.

Цей упакований у шприц полімер дуже добре підходить для виготовлення тимчасових реставрацій тривалого носіння та напівпостійних реставрацій. Напівопакова консистенція цього матеріалу дозволяє приховати суттєву дисхромію, чого неможливо добитися, якщо використовувати класичний транслюцентний матеріал для тимчасових реставрацій з кола тих, що представлені на ринку.

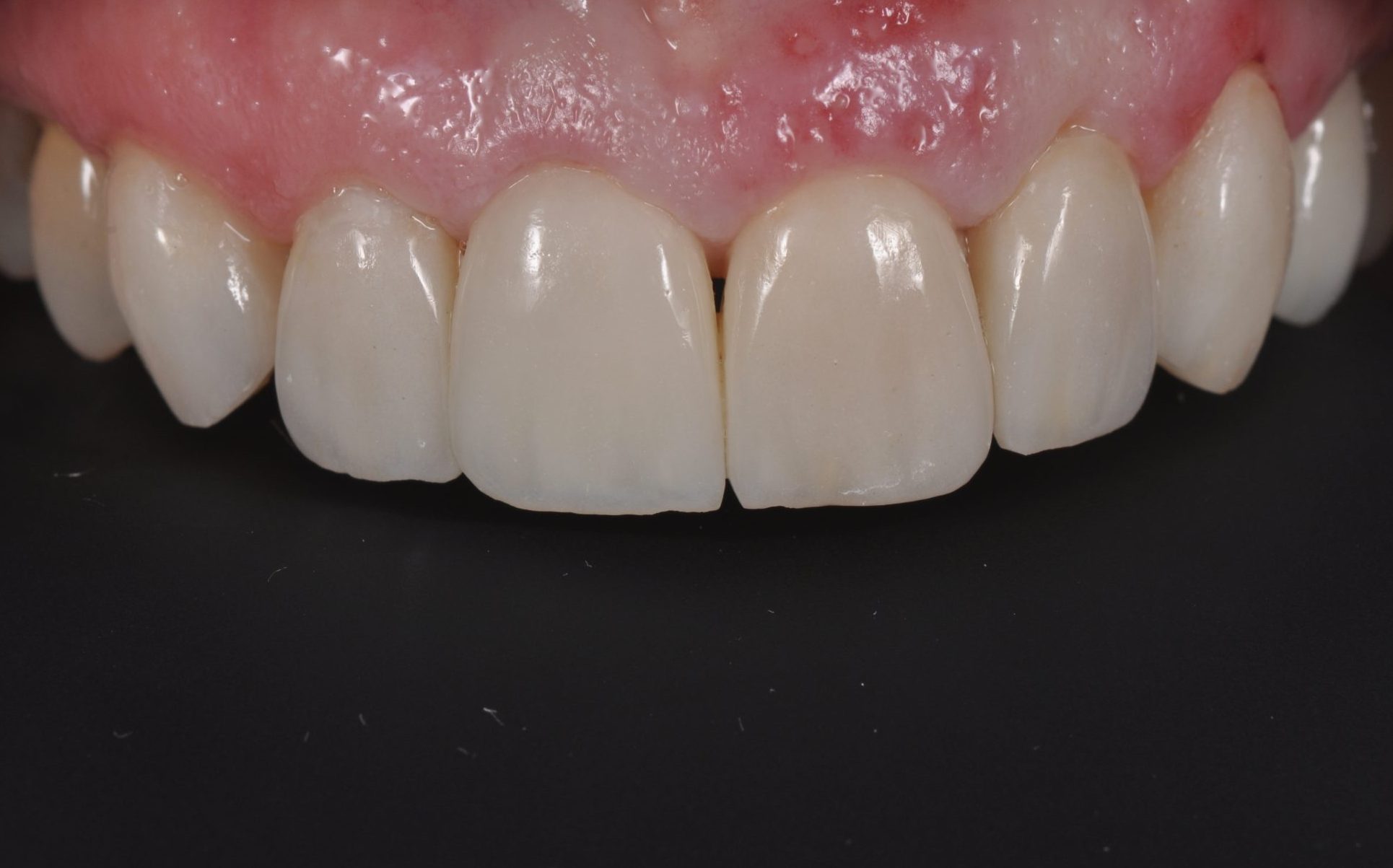
Фото 11. Різноманітні процедури з використанням адгезиву були виконані за протоколом, який ідеально підходить для реставрацій різних типів. Зуби були ізольовані кофердамом. Зверніть увагу на добру естетичну інтеграцію реставрацій двох типів (коронок і вінірів) з неоднаковим кольором оброблених зубів і різною товщиною реставрацій.

Фото 12. Мені хотілося б, щоб ви запам'ятали ось це: для успішної реставрації зубів конструкціями різних типів головне – почати із заміни наявних пломб, які негативно впливають на початкову картину, новими пломбами, які відповідають запланованому кінцевому результату, який хочуть отримати пацієнт і лікар.

Ще раз відзначимо, як і в цьому конкретному випадку, створення кукси після виконання стандартної послідовності маніпуляцій з використанням правильно підібраного матеріалу – це ключ до успішного встановлення реставрацій різних типів у ситуації, коли потрібно змінити зовнішній вигляд посмішки. Найскладніша задача полягає у тому, що потрібно отримати однорідний колір. Стоматолог повинен чітко уявляти початкову картину та кінцевий результат, щоб, по-перше, усунути всі темні ділянки, і потім, підібравши кольори, надати кінцевим реставраціям естетичний вигляд.

Опублікувати 24.11.2019
До разделу