Попереднє відновлення
порожнин жувальних зубів – це техніка (також називається «блокуванням»),
винайдена д-ром R.V. Tucker. Однією з її особливостей є консервативність
під час усунення піднутрень у процесі підготовки порожнин під непрямі реставрації.
Стосовно непрямих реставрацій, одним із кращих
матеріалів, якщо говорити про тривалість служби й біосумісність, є золото.
Встановлені досвідченими руками золоті вкладки, накладки та накладки-оверлей
відрізняються неймовірною довговічністю й точністю. Недоліками цього матеріалу
є високий ступінь залежності від дій оператора та неестетичний жовтий колір,
тому тепер, на жаль, непрямі реставрації з золота ставлять дуже рідко.
У багатьох випадках оптимальним варіантом є адгезивні
реставрації. «Тиха революція» адгезивної стоматології, про яку писав J.F.
Roulet вже стала теперішнім і майбутнім повсякденної клінічної практики.
Після виникнення нових технологій багато технік зазнає
змін, але дотримуватися певних принципів – як і раніше, важливо.
Фото 1. Уявіть, що ви зіткнулися з таким каріозним
ураженням. Якщо ви хочете підготувати порожнину під непряму реставрацію,
необхідно видалити всі піднутрення, щоб вкладка просто пасивно встановлювалася
у порожнину.
У такому разі доведеться видалити дуже великий об’єм
здорових тканин (позначений червоною лінією).
Фото 2. Техніка попереднього відновлення є дуже
простою. Після видалення каріозних тканин вам потрібно буде лише заповнити
порожнину реставраційним матеріалом, завдяки чому порожнину можна підготувати у
більш консервативний спосіб.
Фактично, ви заповнюєте більшу частину піднутрень,
замість того, щоб видаляти здорову тканину, і піднімаєте рівень дна порожнини.
Зараз ідеальним матеріалом для створення основи
непрямої реставрації звісно є композит. На зображенні помітна менша порожнина
(окреслена червоною лінією), нанесений композит (синя зона) і відсутність
піднутрень.
Якщо ви тільки заповнюєте піднутрення, а потім відразу
готуєте порожнину до непрямої реставрації, то це називається «блокуванням піднутрень».
Якщо ви повністю заповнюєте порожнину, то, власне
кажучи, йдеться про «попереднє відновлення».
Інколи таке попереднє відновлення необхідно виконати з
кількох причин. Наприклад, якщо якийсь час потрібно почекати й переконатися у
тому, що пульпа життєздатна, або якщо, припустимо, ви не маєте часу на
виконання всього комплексу процедур, тому що пацієнт звернувся по швидку
допомогу.
Фото 3. В цьому клінічному випадку представлено нижній
перший моляр зі сколом і пломбою з амальгами, яка пофарбувала навколишні
тканини. Зуб гостро реагує на подразники, але напади болю дуже швидкоплинні.
Пацієнт звернувся по швидку допомогу через скол, і, відповідно, ми повинні
терміново вжити нескладних заходів, які забезпечать надійний результат.
Фото 4. Після встановлення кофердама ми приступаємо до
видалення старої пломби та каріозних тканин.
Фото 5. Каріозна порожнина глибока, – вона фактично сягає
пульпи. Дентин у дистальній ділянці виглядає дуже темним, але після видалення
каріозних тканин з'ясовано, що він твердий та здоровий. Дистальний край
розташований досить глибоко, але його можна легко ізолювати кофердамом.
Спільно з пацієнтом ми прийняли рішення зробити
попереднє відновлення зуба, щоб почекати й подивитися, чи пройшли симптоми.
Відразу виготовляти непряму реставрацію може бути небезпечно, якщо є
необоротний пульпіт.
Отже, ми просто переносимо ендодонтичне лікування, якщо
в ньому є потреба!
Фото 6. Після проведення належної фінішної обробки
порожнини, встановлення кругової матриці та оброблення дентину й емалі
адгезивом відсутні тканини були заміщені композитом, зміцненим діоксидом
цирконію (LuxaCore Z від DMG).
Користуватися цим матеріалом дуже легко,
процедура займає небагато часу, пломба виходить міцною та стійкою і в
найближчому майбутньому може послужити основою для непрямої реставрації. У разі
незворотного пульпіту, така реставрація є дуже ефективним підготовчим етапом,
що передує ендодонтичним процедурам.
Фото 7. Завершено фінішне оброблення й полірування
створеної попередньої реставрації.
Ми будемо спостерігати за станом зуба, щоб з'ясувати,
чи потрібне лікування каналів, або ж можна встановити непряму реставрацію та зберегти
вітальність зуба.
Фото 8. У цьому випадку пацієнтка вже має дві старі
пломби з порушеним крайовим приляганням на першому й другому нижніх молярах.
Вона скаржиться на слабкий контакт між зубами.
Фото 9. Вигляд після ізоляції кофердамом.
Фото 10. Ситуація після видалення уражених карієсом
тканин.
Фото 11. Після проведення адгезивної підготовки емалі й
дентину за допомогою композиту подвійного твердіння, зміцненого оксидом
цирконію (LuxaCore Z від DMG), було здійснено попереднє відновлення двох зубів.
Потім ці зуби підготували до установки двох непрямих реставрацій.
Після фінішної підготовки порожнин зняли силіконовий
відбиток, скориставшись двосторонньою відбитковою ложкою та адитивним силіконом
(Honigum від DMG), потім порожнини закрили тимчасовим пломбувальним матеріалом
(Luxatemp Inlay від DMG).
Фото 12. За допомогою воску зубний технік на моделі
створив дві майбутні реставрації (сертифікований зубний технік Pasquale
Casaburo).
Фото 13. Потім їх відлили з літій-дисилікатної кераміки.
Фото 14. Під час другого відвідування ми видалили
тимчасові реставрації та примірили накладки, щоб перевірити правильність
посадки та контактний пункт.
Фото 15. Встановили кофердам.
Фото 16. Потім, зі встановленим кофердамом, ми знову
примірили реставрації.
Фото 17. Після ізолювання другого моляра ми виконали
адгезивні процедури.
Фото 18. Накладку протягом 20 секунд протруювали
плавиковою кислотою, після чого її промили та повністю просушили. Потім нанесли
силан і нагріли його (Vitique Silane від DMG). Після цього нанесли шар адгезиву.
Фото 19. Нанесли композитний цемент подвійного
твердіння (PermaCem від DMG) і зафіксували накладку.
Фото 20. Те ж саме зробили з першим моляром.
Фото 21. Вигляд після зняття кофердама.
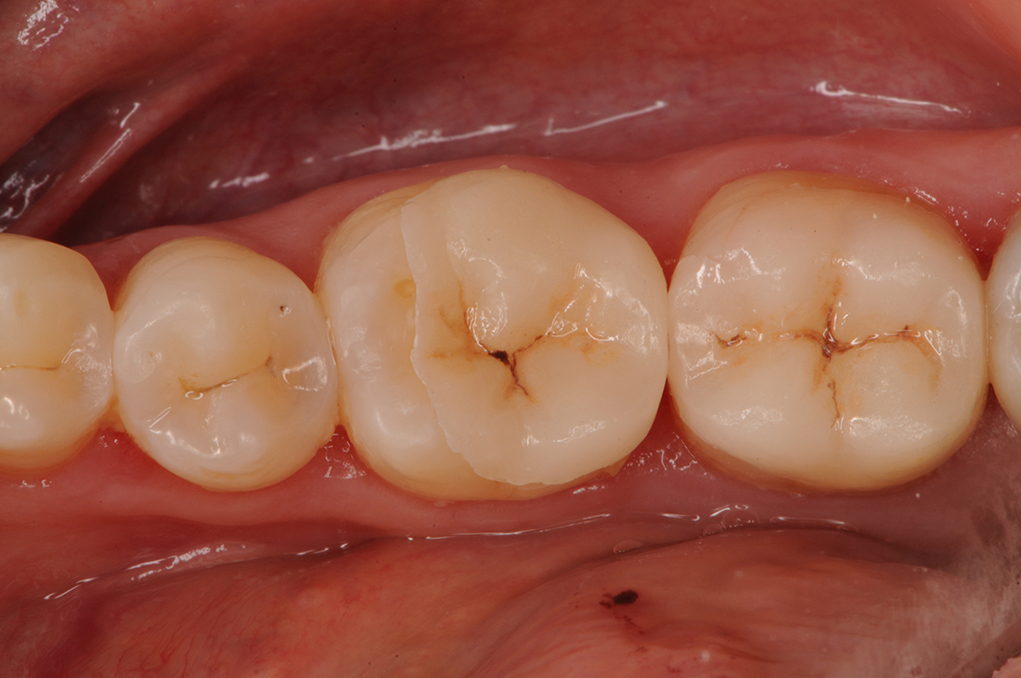
Фото 22. Вигляд за 4 місяці після фіксації реставрацій.
ВИСНОВОК
Непрямі реставрації в адгезивній техніці – це чудовий
спосіб усунення поширених дефектів зубів.
Техніки блокування й попереднього відновлення можуть
бути дуже корисними, тому що дозволяють лікувати більш консервативно і зберегти
великий об’єм здорових тканин. Також вони будуть дуже доречними у випадках із невизначеним
прогнозом стану пульпи, – створення міцної та стабільної реставрації з
ідеальною герметичністю може бути універсальним рішенням, яке у разі потреби
дозволить перетворити композитну основу, створену для непрямої реставрації, у
реставрацію, призначену для подальшого ендодонтичного лікування.
Міцний, надійний і зручний у використанні матеріал, з якого можна швидко виготовити реставрацію, може зіграти справді важливу роль у процесі правильного ведення таких клінічних випадків.