Нині попит на естетичну стоматологію зростає. Дедалі більше пацієнтів хочуть мати ідеальну посмішку. Завчасне планування лікування є запорукою виконання вимог пацієнтів і гарантією дотримання покрокового плану лікування з можливістю повторного виконання процедур без стресу. Добро складений план лікування на кожному етапі повинен давати уявлення про те, яким буде естетичний результат, і передбачувати можливість його демонстрації та обговорення з пацієнтом. Перед тим, як приступити до реконструкції, в процесі спілкування з пацієнтом слід узгодити остаточний варіант естетичного рішення. Зрештою, за допомогою моделі, яка відображає форму, передає особливості форми, функціонування та вимови, виготовляється у два етапи з використанням на 90% точного прямого mock-up та ідеального непрямого mock-up, можна виключити невдалий результат і отримати прогнозований результат без витрачання часу на переробку і повторне моделювання. Щоб передати структуру природного зуба, краще за все – використовувати суцільнокерамічні реставрації.
У процесі препарування природний зуб і, зокрема, емаль, слід розглядати як дорогоцінний матеріал, щоб без необхідності не зашкодити пацієнтові. До того ж, якщо виконувати мінімально інвазивні маніпуляції та препарувати виключно в межах емалі, ймовірність успішної установки вініра підвищується до 99%, тому що міцність з'єднання з емаллю буде значно вище. Проблеми починаються у разі видалення емалі на вестибулярних поверхнях. Якщо дентин не захищено, гнучкість зуба зростає на 200%, і навантаження передається твердій порцеляні. Отже, ризик руйнування адгезивного з'єднання та перелому буде суттєво більшим.
ПАЦІЄНТ
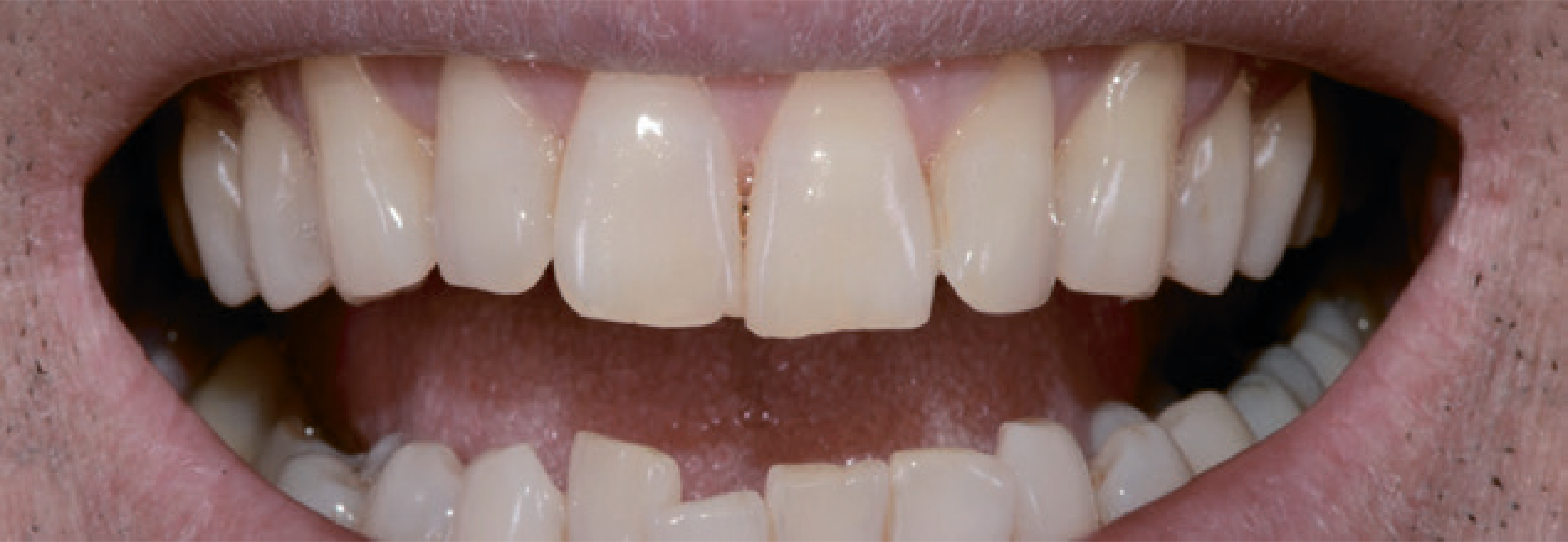
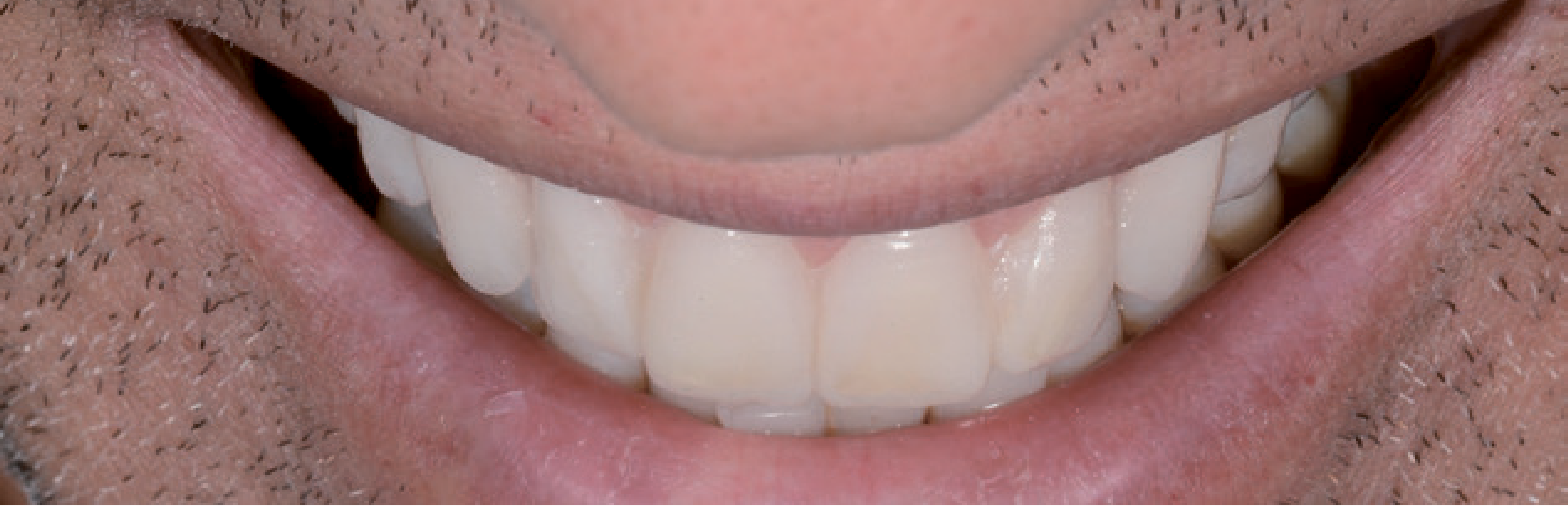
До стоматологічного кабінету звернувся 50-річний чоловік, незадоволений виглядом своїх зубів (мал. 1).

Загалом, він скаржився на жовтуватий колір і дистоповане положення зубів верхньої та нижньої щелеп. На перших фотографіях помітні певні естетичні дефекти. Різальні краї верхніх центральних різців були на різних рівнях (мал. 2).

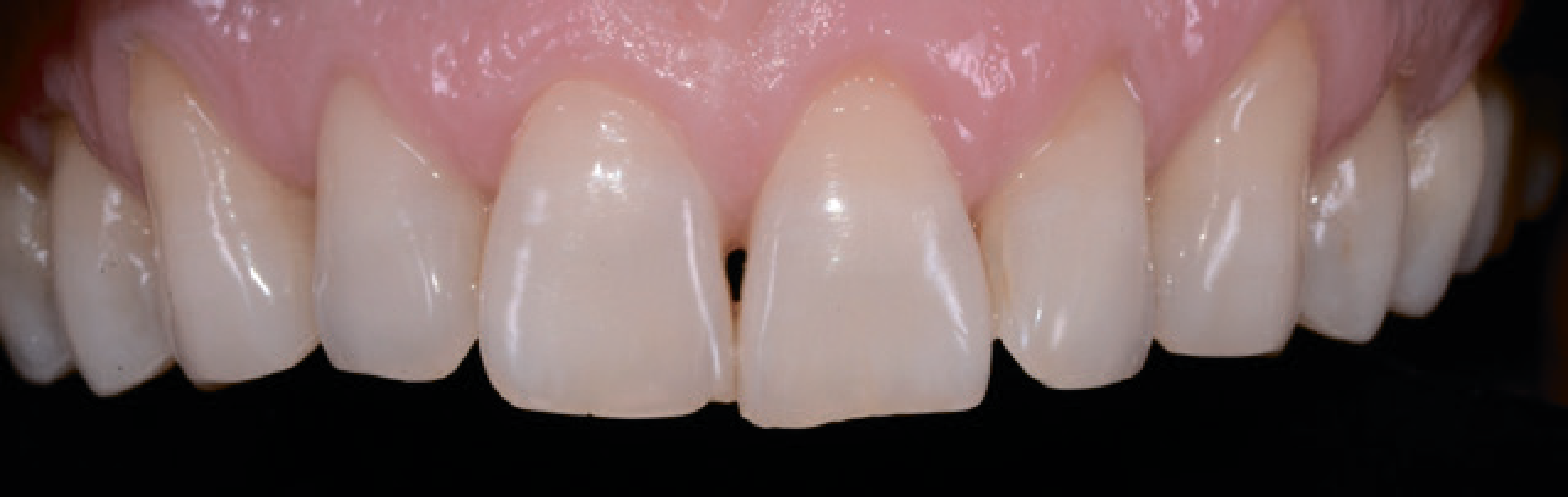
Так, верхній лівий центральний різець був подовжений, і на ньому були явні ознаки стирання. Крім того, ікла були стерті, і це призвело до відсутності фізіологічних орієнтирів. Через положення верхньої губи під час посмішки було видно рівний ясенний край і правильну середню лінію на верхній щелепі, тимчасом як зуби нижньої щелепи були розташовані дуже близько один до одного (мал. 3).

Множинні гінгівальной рецесії були присутні переважно в естетичній зоні, за винятком лівих верхніх різців. Центральні різці, тобто 11, 21 і 22, були вивернуті із зубної дуги. В області різців нижньої щелепи була скупченість, і загалом вони занадто помітно виступали, були нахилені та зміщені. Проблем функціонального характеру пацієнт не відчував. Розбіжностей між центральним мищелковим положенням і стандартною інтеркуспідацією не було. Водночас безперечно було потрібно ортодонтичне лікування нижніх зубів. Стосовно функціонування, стерті ріжучі краї іклів потрібно було відновити, щоб відтворити природний осьовий напрямок ікла.
ПРЯМА ЕСТЕТИЧНА МОДЕЛЬ
Щоб з'ясувати, що саме очікує отримати пацієнт і підтвердити, чи можливо здійснити клінічні процедури, дуже важливо безпосередньо в ротовій порожнині змоделювати результат естетичного лікування. Щоб отримати перше уявлення про поліпшений естетичний вигляд, скористалися EcuSphereShape (DMG) без бондингу. Завдяки консистенції цього композитного матеріалу модель можна швидко зробити за допомогою кінчиків пальців і шпателя.
Перш за все, була змодельована вестибулярна поверхня, щоб дізнатися, яким буде естетичний вигляд посмішки. Після фотополімеризації змоделювали функціонуючу різцево-піднебінну зону з нанесенням контурів статичної та мобільної оклюзії. У цьому випадку, на цьому етапі не було потреби відтворювати сагітальний різцевий шлях, тому що на другому етапі робіт дугу нижньої щелепи необхідно вирівняти за допомогою ортодонтичних процедур, а потім – закрити вінірами. Формували модель у напрямку від верхнього правого першого премоляра до верхнього лівого першого премоляра, щоб рівномірно заповнити «щоковий коридор» (мал. 4).

Під час спілкування з пацієнтом моделювання прямого mock-up було оброблено диском для шліфування. Отже, модель була скоригована, а зайві частини – видалені. EcuSphereFlow (DMG) нанесли на ділянки, де потрібно було трохи скорегувати контур за допомогою додання матеріалу, щоб надати моделюванню остаточну форму та естетичний вигляд. Результат естетичного лікування погодили з пацієнтом. Після внесення мінімальних змін початкова модель була визнана стоматологом і, що більш важливо, пацієнтом, задовільною. Форма прямого mock-up у ротовій порожнині була зафіксована фотозйомкою. З прямого mock-up було знято відбиток, щоб передати зубному технікові якомога більше деталей. Тепер технік має всі необхідні відомості для створення остаточного wax-up. Водночас за допомогою ортодонтичних засобів лікар почав коригувати положення зубів нижньої дуги.
НЕПРЯМА ЕСТЕТИЧНА МОДЕЛЬ
Використовуючи необхідну інформацію, відображену на mock-up, який був змодельований у ротовій порожнині, технік зробив wax-up ідеального результату естетичного лікування (мал. 5).

Він переніс особливості реконструкції естетичної зони безпосередньо з прямого mock-up - в напрямку від верхнього правого другого премоляра до верхнього лівого другого премоляра, заповнюючи «щоковий коридор». Осьовий напрямок ікла змоделювали за допомогою артикулятора, щоб виконати дизоклюзію задніх зубів у разі динамічної оклюзії з вирівняними нижніми зубами. Такий фізіологічний орієнтир дозволяє уникнути впливу неконтрольованих зусиль у зоні моляра і забезпечує довготривалість реконструкції. З доведеного до ідеального стану wax-up на моделі зробили три силіконові відбитки.
МОДЕЛЬ І ОРІЄНТИР
Перший відбиток було виконано за допомогою HonigumPutty (DMG), щоб створити ключ для перенесення ідеального естетичного й функціонального результату в ротову порожнину, використовуючи непрямий mock-up як тимчасову естетичну модель для попередньої оцінки (ТЕМПО), і встановити орієнтири для мінімально інвазивного препарування. Ключ вкоротили за лінією ясен, форма якої нагадує гірлянду, щоб можна було безперешкодно видалити зайвий матеріал.
КОНТРОЛЬ ПРЕПАРУВАННЯ
Другий відбиток виготовили за допомогою HonigumPutty (DMG) заради визначення меж препарування для контролю вестибулярної та різцевої зон, – щоб у процесі лікування виконати реставрацію. Для забезпечення можливості регулювання довжини піднебінну частину вирізали з різцевими краями. Частина вестибулярного індексу, що залишилася, була прорізана в декількох горизонтальних шарах. Так можна було поетапно побачити кількість зубної тканини, яку необхідно видалити.
ТИМЧАСОВА ПРОЦЕДУРА
Третій відбиток остаточного wax-up виготовили за допомогою прозорого силікону відповідно до ключа, прорізаного горизонтально у пришийковій ділянці для проведення проміжної двоетапної процедури з використанням LuxatempFluorescence (DMG) і EcuSphereShape (DMG). У більшості випадків для виготовлення тимчасових реставраційних конструкцій стоматолог може використовувати перший силіконовий відбиток (мал. 6).

НАПРАВЛЕНЕ ПРЕПАРУВАННЯ MOCK-UP – ПРЕПАРУВАННЯ ЗА ДОПОМОГОЮ ТЕМПО (ТИМЧАСОВА ЕСТЕТИЧНА МОДЕЛЬ ДЛЯ ПОПЕРЕДНЬОЇ ОЦІНКИ)
Спочатку шприцом ввели LuxatempFluorescence (DMG) в силіконовий ключ, який встановили зверху зубної дуги (мал. 7).

Поки зайвий матеріал уздовж краю ясен перебував у гелеподібному стані, його видалили, використовуючи гірляндоподібне підрізання. Тепер доведений до ідеального стану wax-up перенесли в естетичну зону. Така процедура виконується без знеболення, щоб пацієнт міг повністю контролювати губи. У 2003 р. цю модель її автор назвав ТЕМПО. ТЕМПО – це остання можливість продемонструвати результат пацієнтові, тобто показати, якими будуть естетичний вигляд, функціональні особливості та вимова, а також, у разі потреби, обговорити всі зміни, які слід внести перед тим, як приступити до керованого препарування за допомогою mock-up (мал. 8).

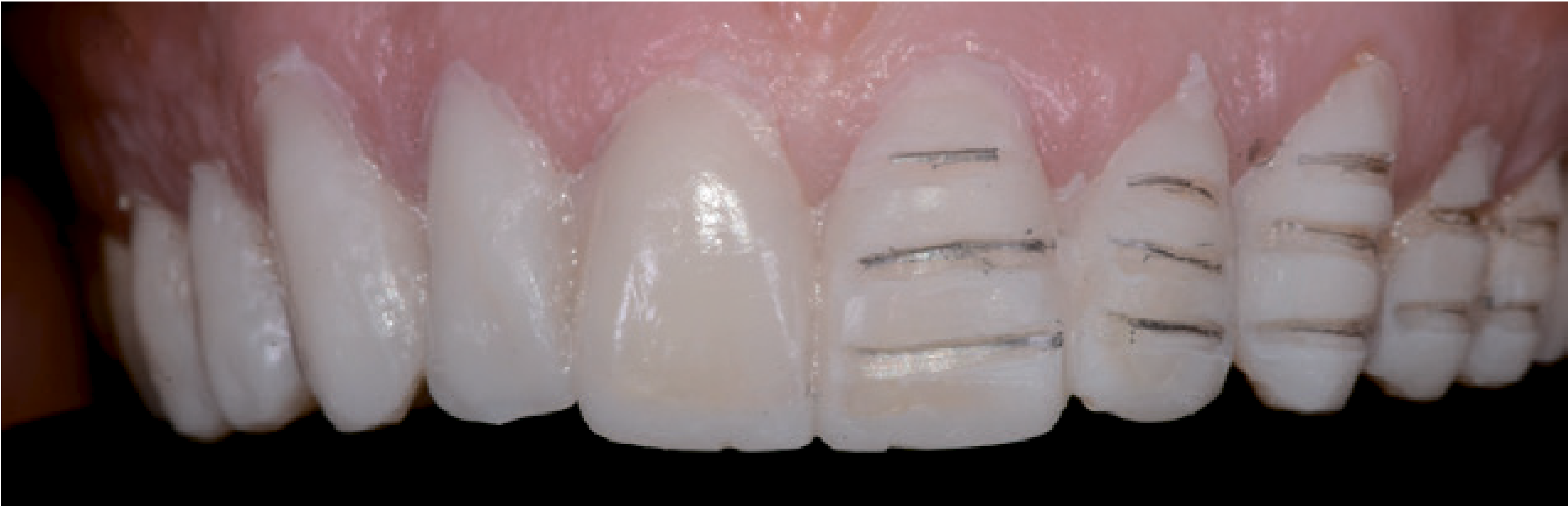
Щоб гарантувати мінімальну інвазивність і граничну точність під час препарування, ТЕМПО має залишатися в ротовій порожнині. У такий спосіб можна буде видалити стільки емалі, скільки потрібно. Щоб було зручніше направляти бор, початкове препарування проводили за допомогою ТЕМПО. За допомогою маркера глибини вирізали три горизонтальні насічки у пришийковій, центральній та різцевій зонах mock-up. На більш коротких премолярах зробили по дві горизонтальні насічки у такий самий спосіб (мал. 9).

Довжину різального краю зменшили за допомогою двох вертикальних вирізів не менше 1,5 мм, щоб надати технікові достатньо простору для роботи в цій важливій естетичної зоні (мал. 10).

Керуючись такими мітками-заглибленнями весь різцевий край рівномірно зменшили за допомогою препарування крайок стикового з'єднання або залишили недоторканим через збільшення завдяки ТЕМПО. Горизонтальні лінії препарування позначили олівцем. Залишки mock-up (ТЕМПО) видалили скалером. На поверхнях, частину яких потрібно було видалити під час препарування, залишилися сліди олівця (мал. 11).

Згодом можна провести вибіркове препарування, приділяючи особливу увагу позначеним ділянкам, щоб суцільнокерамічні реставраційні конструкції були достатньо й рівномірно щільними, і щоб таким чином зубна дуга була рівною. Після такого прицільного видалення емалі конічним грубозернистим алмазним бором вестибулярні відпрепаровані ділянки простягалися рівномірно уздовж щічних поверхонь – від різального до ясенного краю, створивши гладкі скоси на емалі у зазначених зонах (мал. 12).

Відповідно, пришийкові кордони залишилися в емалі над поглибленнями. Тут основне завдання полягало в тому, щоб створити надійне з'єднання з емаллю. Шийкові відпрепаровані ділянки подовжили й вивели у міжзубні зони. Тут краям відпрепарованих ділянок надали невеликий скіс – на вестибулярному боці міжзубних точок контакту без ослаблення контакту проксимальної поверхні, щоб забезпечити стабільність і виключити будь-які зміщення. Поверхня відпрепарованих ділянок була згладжена полірувальним диском. Перед зняттям відбитка визначили відтінок зуба (мал. 13).

ЗНЯТТЯ ВІДБИТКА Й ВИГОТОВЛЕННЯ ТИМЧПАСОВИХ КОРОНОК
Для зняття відбитка використовували техніку подвійного замішування а-силікону HonigumProHeavy і Light (DMG) без ретракційних ниток, оскільки були відпрепаровані над’ясеневі ділянки. HonigumProLight дозволяє зафіксувати найдрібніші деталі (мал. 14).

Цей високоточний матеріал для зняття відбитків, який під тиском має чудову плинність, нанесли шприцом на відпрепаровані ділянки та залишили на місці, щоб потім увести ложку з HonigumProHeavy. Для встановлення тимчасових коронок використовували техніку «spot etch». Невеликі ділянки відпрепарованих зон на вестибулярній поверхні протравили фосфорною кислотою (мал. 15).

Травильний гель змили струменем води. Після просушування повітрям адгезив ТЕСО (DMG), який міститься в одному флаконі, щіточкою нанесли на протравлені ділянки, а потім його засвітили. Оброблені адгезивом ділянки забезпечують часткове з'єднання з тимчасовим композитним матеріалом LuxatempFluorescence (DMG), який нанесли за допомогою третього прозорого силіконового маркера. На цьому маркері зробили горизонтальні прорізи глибиною 1 мм у коронковому напрямку від кінчиків сосочків, щоб на другому етапі встановлення тимчасових коронок у процесі видалення зайвого матеріалу не допустити травмування ясен. У ключ внесли Luxatemp Fluorescence, після чого встановили його на відпрепарованих ділянках, щоб закрити лише різцеві третини відпрепарованих поверхонь. Зайвий матеріал легко видалили в гелеподібному стані. Після повної полімеризації різцевих третин тимчасових реставрацій кожну пришийкову ділянку окремо формували за допомогою установки за методикою «freehand». На цьому заключному етапі використали композит EcuSphere (DMG). За допомогою шпателя матеріал ретельно підігнали до пришийкових країв. Фінішну обробку виконали дрібнозернистим алмазним бором і полірувальними дисками, не зачіпаючи м'які тканини. Щоб поверхня стала м'якою та блискучою, LuxatempGlaze & Bond (DMG) нанесли щіточкою, не допускаючи контакту з нальотом (мал. 16).

ФІКСАЦІЯ ВІНІРІВ
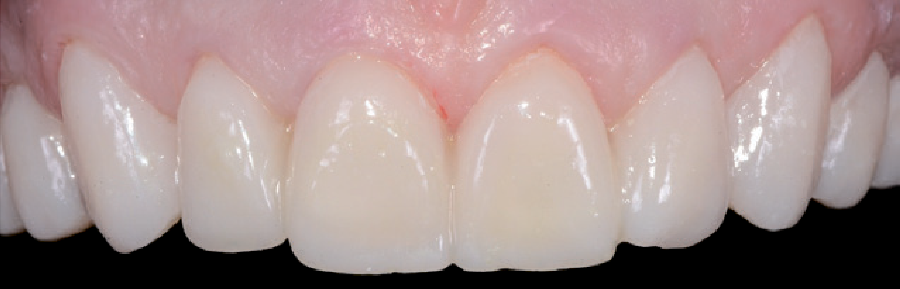
У стоматологічній лабораторії для зубів 15-25 були виготовлені пресовані вініри e-max, покриті полевошпатною порцеляною. Завдяки використанню техніки «spot etch» тимчасові реставрації вдалося легко видалити скалером. Відпрепаровану поверхню очистили матеріалом ConsepsisScrub (Ultradent). Для остаточного встановлення реставраційних конструкцій скористалися VitiqueCementationSystem (DMG). За допомогою пробних паст різних відтінків, аналогічних адгезивним цементам, за допомогою системи Vitique можна у всіх подробицях змоделювати остаточний результат. Оскільки порцелянові вініри тонкі та прозорі, цьому етапу приділили максимум уваги. Щоб приміряти реставраційні конструкції, використовували примірочні пасти, які містять гліцерин і є у комплекті VitiqueCementationKit (DMG). Вони дозволяють ідеально змоделювати остаточний результат (мал. 17).

Коли посадка й колір вінірів були задовільними для пацієнта та лікаря, адгезивну фіксацію можна було виконати та отримати прогнозований результат. Кукси знову очистили струменем води, після чого зафіксували вініри. Вініри протравили 5% розчином фтористоводневої кислоти та силанізували системою з двох флаконів VitiqueSilane (DMG) для посилення міцності з'єднання. Протягом 20 секунд відпрепаровані ділянки перебували під впливом 37% фосфорної кислоти, щоб забезпечити адгезивне з'єднання з ТЕСО (DMG). Адгезивний засіб з одного флакона нанесли тонким шаром на 5 секунд. Перш за все, верхні центральні різці обробили одночасно, щоб гарантувати симетрію. Сусідні зуби закрили тефлоновою стрічкою (мал. 18).

За допомогою спеціальної канюлі для оброблення вінірів на протравлений кислотою вінір нанесли рівномірну й плоску смугу Vitique (DMG) – від різцевої до пришийкової зони (мал. 19).

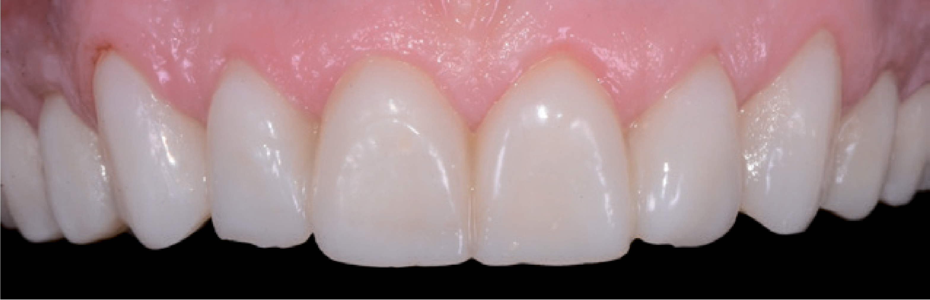
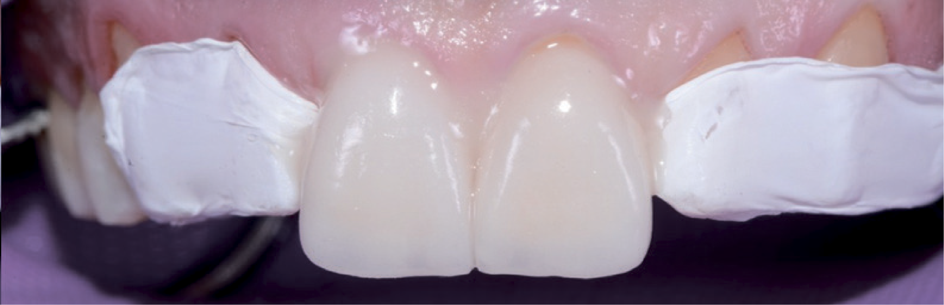
Вініри акуратно встановили вручну. Для цього чинили тиск великим і вказівним пальцями у напрямку від різцевої до пришийкової зони. Коли реставраційні конструкції були остаточно встановлені (мал. 20), провели початкову полімеризацію кожного вініра з усіх боків протягом 1-2 секунд. Зайву кількість полімеризованого фіксаційного цементу в гелеподібному стані тепер можна було легко видалити за допомогою скалера. Далі провели остаточну фотополімеризацію кожного вініра з усіх боків протягом 40 секунд. Остаточне коригування маргінальних ділянок виконали за допомогою гумового полірувального інструмента. Потім всю процедуру встановлення вінірів провели повторно – на нижній щелепі, оптимізуючи естетичний результат і встановивши остаточний сагітальний різцевий шлях.

ВИСНОВОК
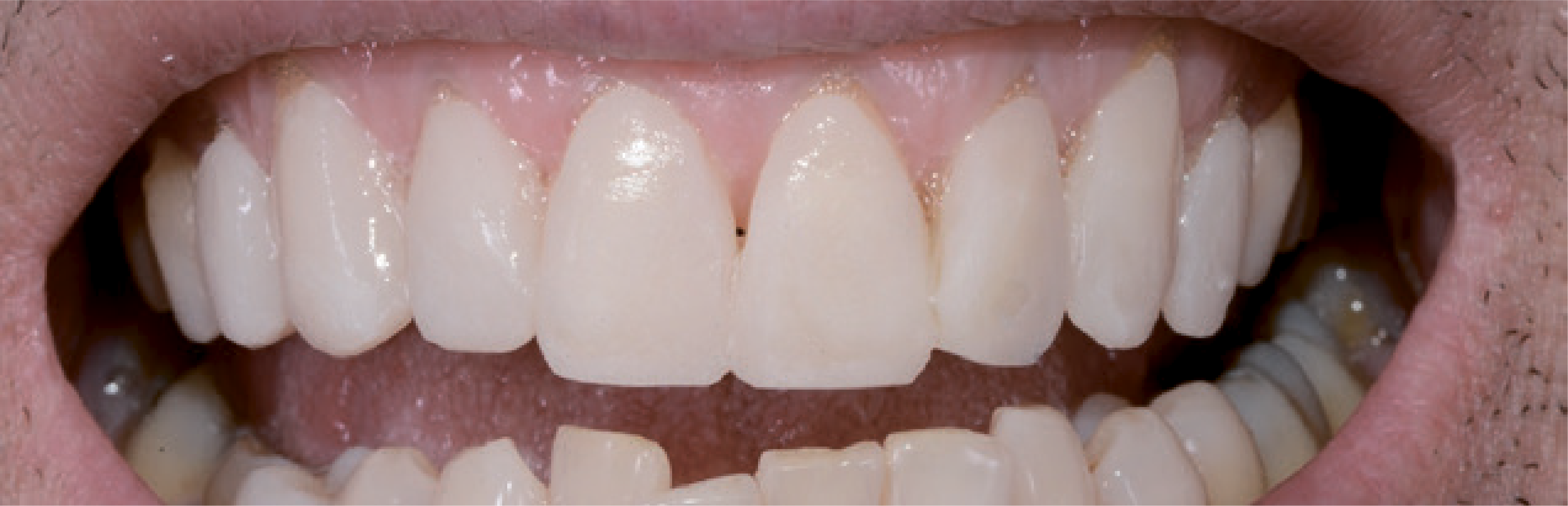
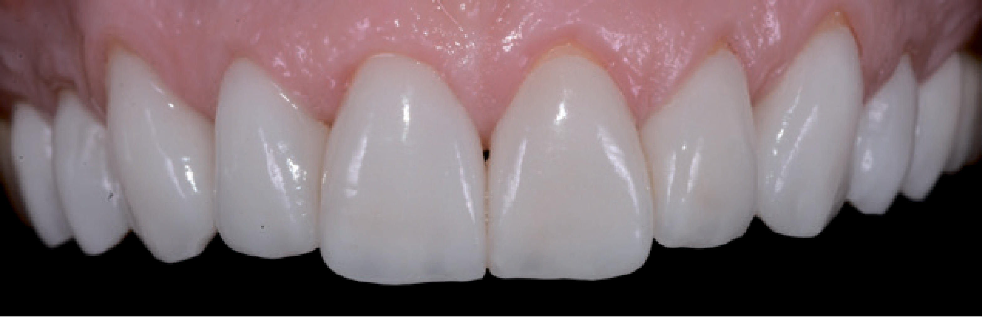
Навіть досить кваліфіковані стоматологи зовсім не завжди вирішуються використовувати вініри для естетичної реставрації. Вони бояться не отримати бажаний естетичний результат, адже пацієнти дуже вимогливо ставляться до такої процедури, оскільки вони змушені чимало за неї заплатити. Психологічна сторона, пов'язана з естетичною зоною, є непередбачуваним фактором ризику. Завдяки двоетапній техніці прямого й непрямого mock-up естетичний результат можна обговорити з пацієнтом, а потім і реалізувати його за участю пацієнта. Коли модель mock-up виглядає достатньо переконливо для стоматолога й пацієнта, вона використовується як якісний орієнтир для отримання задовільного естетичного результату. Далі препарування виконується виключно в межах емалі – для надійної фіксації реставраційної конструкції адгезивним цементом на тривалий термін. З цієї причини згодом, щоб створити оптимальне з’єднання, поглиблення не препарували. У цьому випадку ці ділянки непомітні крізь лінію посмішки, і пацієнт не захотів, щоб контури виправляли мікрохірургічним шляхом. В інших випадках оптимізувати естетичний вигляд м'яких тканин можна за допомогою вільного слизового трансплантата. Новий сагітальний різцевий шлях був створений за допомогою вінірів, щоб не допустити впливу неконтрольованих зусиль. Вночі ж щелепно-ротовий апарат і реставраційні конструкції були захищені за допомогою верхньощелепної ортопедичної капи. Активне спілкування і взаємодія стоматолога з пацієнтом спочатку передбачає виконання додаткової роботи, проте допомагає швидко отримати прогнозований результат і виключити непередбачені витрати коштів і часу, а також непотрібний стрес і розчарування (мал. 21 і 22).

Як підсумок, скажімо, що мінімально інвазивне лікування для пацієнта і стоматолога має тільки переваги, що змінює нашу думку про естетичну стоматологію.
