Процедура зняття
відбитків з опорних зубів має дуже велике значення для ортопедичного лікування,
тому що отримані дані можуть безпосередньо вплинути на точність виготовлення й
посадки кінцевої реставраційної конструкції. Хімічні та фізичні властивості еластомерних
відбиткових матеріалів можуть вплинути на точність кінцевих відбитків.
Під час вибору
відбиткового матеріалу слід враховувати такі властивості, як консистенція та
плинність, зручність у роботі, час твердіння та стабільність параметрів.
Найбільш поширеними
еластомерними матеріалами, які використовуються для виготовлення незнімних та
знімних ортопедичних реставраційних конструкцій, є вініл-полісилоксани (ВПС) і
поліефіри (ПЕ).
Вініл-полісилоксанові
відбиткові матеріали є зручними в роботі. Також вони забезпечують високу стабільність
і точність параметрів, пружне відновлення після зняття з піднутрень, низьку
в'язкопружність, низький ступінь викривлення, достатню міцність на розрив,
нетривалий період твердіння і дають змогу кілька разів відливати модель за
одним відбитком.
Під час роботи з відбитковими матеріалами зазвичай
необхідно знайти компроміс. Вони мають або добру плинність, або стабільність.
Проте матеріал для зняття точних відбитків Honigum на основі
вініл-полісилоксану є особливим. Завдяки використанню реологічно активної
матриці, запатентованої компанією DMG, матеріали Honigum-Light, Honigum-Mono і
Honigum-Heavy забезпечують оптимальні результати за обома показниками. А різні
версії матеріалу Putty компанії DMG є кращими за матеріали-конкуренти саме за
тими параметрами, які є найбільш вагомими для стоматолога та процедури
лікування.
Завдяки використанню унікальної технології Snap-Set матеріал Honigum-Putty для ручного замішування забезпечує достатній робочий час і дуже нетривалий період твердіння.
Фото 1. Здебільшого пацієнти скаржилися на те, що зуби
були занадто великими, а колір – неприємним.
Фото 2. Під час інтраорального обстеження коронок із
оксиду цирконію на зубах 11 і 21 було виявлено погане прилягання у пришийковій
області, запалення ясен, недостатній контакт із поверхнею, висока прозорість
реставраційних конструкцій, відсутність єдиної форми на усій дузі.
Фото 3. Коронки були видалені, а замість них були
встановлені композитні реставраційні конструкції.
Фото 4. Дві попередні конструкції були виготовлені в
кабінеті з композита Luxatemp з урахуванням початкової ситуації. Форму змінили
всередині ротової порожнини за допомогою прямого mock-up відповідно до
параметрів сусідніх зубів.
Фото 5. Колір кінцевої реставраційної конструкції підбирали на початку
процедури зняття відбитка, тобто до просушування зубів цього пацієнта
Фото 6. Після загоєння ясен щічні краї завели під ясна
через високохроматичний колір опорних зубів. Для кінцевої фінішної обробки
опорних зубів використовували арканзаський камінь.
Фото 7. Фінішну обробку пришийкової зони виконували за
допомогою ретракційної нитки, щоб захистити епітеліальне вистилання.
Фото 8. Кінцевий вигляд після препарування.
Фото 9. Після фінішної обробки країв була введена друга
нитка – для ретракції крайових ясен у горизонтальному напрямку. Другу нитку
необхідно встановити так, щоб її було повністю видно, якщо дивитися від різця.
Фото 10. Вигляд ясен після видалення другої нитки. Дуже
добре видно простір для відбиткового матеріалу.
Фото 11. У цьому випадку я вирішив використовувати
матеріал Honigum виробництва компанії DMG. Він має дуже високу плинність і може
заповнити весь простір, що утворився під впливом другої нитки.
Фото 12. Putty є найбільш пластичним з усіх матеріалів,
які мені доводилося використовувати. Завдяки технології Snap-Set, розробленої
компанією DMG, новий матеріал Honigum-Putty як ніякий інший оптимально поєднує
в собі достатній робочий час і нетривалий період перебування у ротовій
порожнині. Оскільки робочого часу більш ніж достатньо, так званий «стрес під
час замішування» зведено до мінімуму. Деформації через те, що матеріал вже
затвердів, не буде, а амплітуда мікрорухів зменшується завдяки прискореному
формуванню поперечних зв'язків. Оскільки маніпуляції у ротовій порожнині
потребують менше часу, під час лікування пацієнт почувається комфортніше.
Така плинність також виключає високий тиск матеріалу в
процесі введення, і через це у певних випадках можуть зрушитися опорні зуби.
Фото 13. Перевагами цього матеріалу є:
- високоякісне відтворення деталей;
- чудова стабільність у ложці й ротовій порожнині;
- чудова плинність під легким тиском;
- збалансована гідрофільність,
- нейтральний смак і запах меду;
- нагода отримати дуже якісний відбиток борозенки за допомогою техніки одноетапного промивання.

Фото 14. Після зняття відбитка колір опорного зуба
визначили за допомогою фарби для матеріалу природного кольору.
Фото 15. Вигляд контрольної моделі.
Фото 16. Ізолювання перед фіксацією двох коронок. У
цьому випадку я вирішив фіксувати їх по черзі за допомогою Variolink Esthetic
DC виробництва Ivoclar.
У цьому випадку я вирішив використовувати полевошпатну
кераміку на вогнетривкій фарбі.
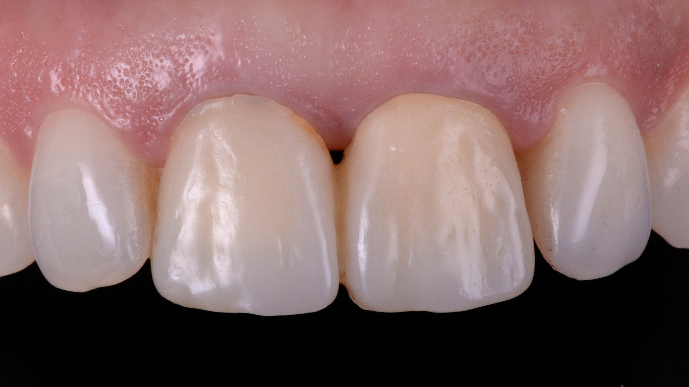
Фото 17. Кінцевий вигляд реставраційних конструкцій за місяць після фіксації.
Фото 18.
Лікар і пацієнт дуже задоволені кінцевим результатом.
1. Добрий відбитковий матеріал забезпечує високу
точність керамічної реставраційної конструкції.
2. Технологія Snap-Set забезпечує оптимальний робочий
час і скорочує час маніпуляцій у ротовій порожнині.