За загальноприйнятою практикою зуб зі значною втратою
тканин після ендодонтичного лікування спочатку реставрують за допомогою штифта
та створення кукси, потім препарують і встановлюють на нього постійну коронку.
Штифт і штучна кукса використовуються для відновлення відсутніх тканин зуба,
підвищення кінцевої міцності зуба, а також створення форми з найкращою ретенцією
і резистентністю для встановлення постійної коронки. Вважалося, що штифт
забезпечує ретенцію для матеріалу, що використовується для створення кінцевої
кукси. Проте в епоху адгезивної стоматології штифт можна фактично зафіксувати
на тканинах кореня, щоб забезпечити адгезивну перевагу як для кукси, так і для
постійної коронки.
Дуже численні стоматологи не встановлюють штифти
навіть, якщо є відповідні показання. Можливо, це пов'язано з тим, що встановлення
штифта також займе якийсь час. На прикладі цього клінічного випадку показано,
як стоматолог може встановити й зафіксувати за допомогою адгезивних матеріалів
штифт і створити куксу, витративши на це мінімум часу.
Клінічний випадок
45-річний чоловік звернувся зі скаргою на зуб 24, який
раніше був відновлений за допомогою суцільнокерамічної накладки.
За кілька років після установки накладки знадобилося
ендодонтичне лікування зуба. Тепер було порушено крайове прилягання накладки,
на кераміці видно відколи (рис. 1).
Фото 1. Зуб зі суцільнокерамічною
накладкою.
За планом лікування спочатку слід встановити штифт і
сформувати куксу, а потім виготовити коронку на основі дисилікату літію.
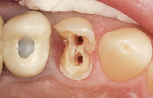
Видаляємо наявну керамічну накладку і невелику зону
каріозного ураження. Знаходимо щічний та язичний канали. За допомогою свердла
для штифтів, що є у комплекті LuxaPost, у кожному каналі створюємо ложе для
штифта глибиною 10-11 мм (рис. 2 і 3).
Фото 2. Кореневі канали після видалення матеріалу для
обтурації.
Фото 3. Робота зі свердлами LuxaPost для створення ложа для штифтів.
Штифти LuxaPosts припасовують у кожному з каналів, щоб
гарантувати їхнє щільне прилягання. Після цього штифти очищаються за допомогою
спирту.
На зуб встановлюється одноразова матриця типу
Tofflemire (OmniMatrix, Ultradent). Весь підготовлений зуб протруюють
ортофосфорною кислотою протягом 20 секунд (рис. 4), а потім ретельно промивають
водно-повітряним спреєм. Після цього канали просушують паперовими штифтами.
Фото 4. Протруювання
зуба ортофосфорною кислотою.
Відпрепарована зона повністю обробляється адгезивною
системою LuxaBond відповідно до інструкції виробника (рис. 5).
Фото 5. Використання
адгезивної системи LuxaBond.
Плівка матеріалу для відновлення кукси LuxaCore Z-Dual
є досить тонкою і дозволяє використовувати матеріал навіть як композитний
цемент подвійного твердіння. Завдяки цій фізичній властивості LuxaCore Z можна
вводити безпосередньо в канали як композитний цемент подвійного твердіння для
фіксації штифтів (мал. 6).
Фото 6. Введення
LuxaCore Z безпосередньо в обидва кореневих канали.
Екструзія припиняється, коли LuxaCore Z досягне
верхньої межі ложа для штифтів. Штифти LuxaPost встановлюються в канали,
проводиться 10-секундне засвічування.
Потім вся матриця заповнюється матеріалом LuxaCore Z до
верхньої частини (мал. 7).
Фото 7. Матриця повністю заповнюється матеріалом
LuxaCore Z до верхньої частини.
Характеристики плинності матеріалу забезпечують високу
швидкість заповнення без утворення порожнеч, а подвійне твердіння дає змогу
швидко заповнити всю матрицю в один етап. Матеріал засвічується протягом 30
секунд із матрицею і 30 секунд без матриці.
Оскільки матеріал для відновлення кукси є матеріалом
подвійного твердіння реставрація буде готовою до завершальної процедури
препарування після 60-секундного засвічування.
Протягом наступних кількох хвилин внутрішня частина
кукси повністю полімеризується завдяки властивості подвійного твердіння
матеріалу.
Препарування проводиться відповідно до вимог,
встановлених щодо коронок з дисилікату літію (мал. 8).
Фото 8. Зона препарування готова до реставрації.
Крім того, до матеріалу LuxaCore Z додано цирконій, і
тому під час препарування консистенція матеріалу кукси буде аналогічною
консистенції дентину. Це гарантує стоматологові сталість відчуття на етапі
підготовки і не допускає утворення в композиті канавок, які можуть виникнути в
інших композитах для створення кукси, які не мають такої особливості.
Кінцевий відбиток знімається за допомогою відбиткового
матеріалу на основі вініл-полісилоксану з прискореним твердінням (Honigum-Light
і Honigum-Heavy (мал. 9)).
Фото 9. Зняття відбитків за допомогою Honigum.
Крім того, для фіксації оклюзії пацієнта виконується
реєстрація прикусу (O-Bite). Ця інформація відправляється до лабораторії разом
із фотографіями та письмовим рецептом для виготовлення остаточної коронки з
дисилікату літію (e.max).
За передопераційним відбитком (Status-Blue) тимчасова
коронка (Luxatemp Star) виготовляється, обрізається, полірується і
встановлюється з використанням цементу для тимчасової фіксації (TempoCemNE).
Після перевірки оклюзії тимчасова коронка проходить кінцевий етап полірування і
покривається рідким фотополімерним лаком (Luxatemp Glaze & Bond). Це
покращує її кінцевий естетичний вигляд і гарантує стійкість до фарбування.
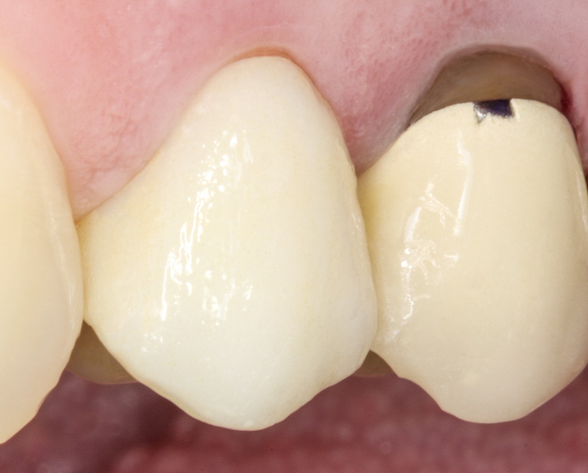
Під час наступного візиту пацієнта кінцева коронка
припасовується, а оклюзія коригується. Коронка фіксується за допомогою
адгезивного композитного цементу подвійного твердіння (Vitique, Translucent) у
поєднанні з LuxaBond, який використовується як адгезив (мал. 10).
Фото 10. Кінцеву
реставрацію встановлено.
На післяопераційній рентгенограмі видно чудову кінцеву
посадку коронки й штифта (мал. 11).
Фото 11. Післяопераційна рентгенограма.

Висновок
Техніка, яка дозволяє максимально використовувати
переваги композитного цементу подвійного твердіння, ефективно встановлювати
штифт і формувати куксу, створює міцну основу для постійної коронки та
забезпечує довговічність кінцевої реставрації.