Статті

НЕПРЯМІ РЕСТАВРАЦІЇ ФРОНТАЛЬНИХ ЗУБІВ. МАКСИМУМ КОРИСТІ У СКЛАДНІЙ СИТУАЦІЇ

У повсякденній практиці нам часто доводиться мати справу з ситуаціями, коли для усунення різних патологій пацієнта потрібно виконати реставраційне лікування.
З усіх випадків, з якими ми стикаємося, найбільш складними є ті, що мають значення з естетичної точки зору. Зокрема, це верхні фронтальні зуби, вигляд яких є важливим під час спілкування з людьми навколо і впливає на емоційний стан пацієнта. Це – та зона, яка не прощає помилок, і тому зробити все ідеально є технічно складним завданням.
Ще більш складним завданням є повторне лікування зубів фронтальної групи, оскільки з психологічної точки зору у нас є незадоволений пацієнт із високими вимогами, а з технічної точки зору необхідно відновлювати вже оброблені зубні тканини.
Незалежно від обсягу майбутньої роботи, саме в таких ситуаціях для отримання оптимального результату слід діяти особливо обережно, внести корективи в очікування пацієнта, використовувати максимум своїх можливостей і працювати найкращими інструментами з тих, що є у розпорядженні.
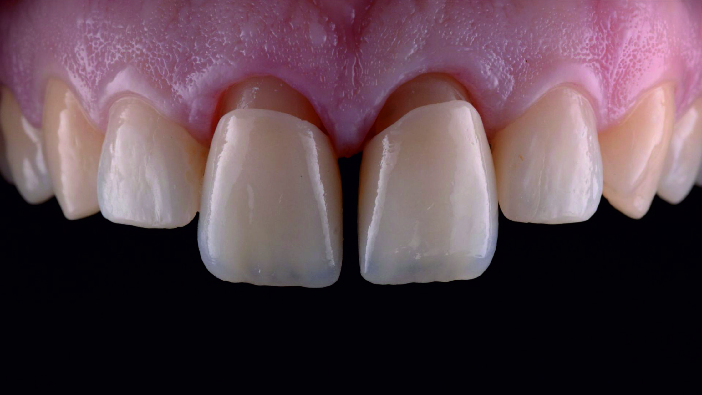
Фото 1. Початкова ситуація: жінка віком приблизно 35 років, із двома металокерамічними коронками, встановленими на верхніх центральних різцях. 
Основні скарги: асиметрія центральних різців, запалення й кровоточивість ясен навколо коронок, загальне невдоволення естетикою цієї зони.
Фото 2. Через високо розташовану лінію посмішки можна припустити, що будь-яка вада після лікування обов'язково буде дуже добре помітною.
Фото 3. Внутрішньоротовий вигляд початкової ситуації.
Фото 4. Перед тим, як приступити до планування майбутнього естетичного вигляду зубів, необхідно переконатися в тому, що тканини пародонта здорові. Так ми зможемо встановити фактичне розташування рівня зенітів центральних різців.
Фото 5.
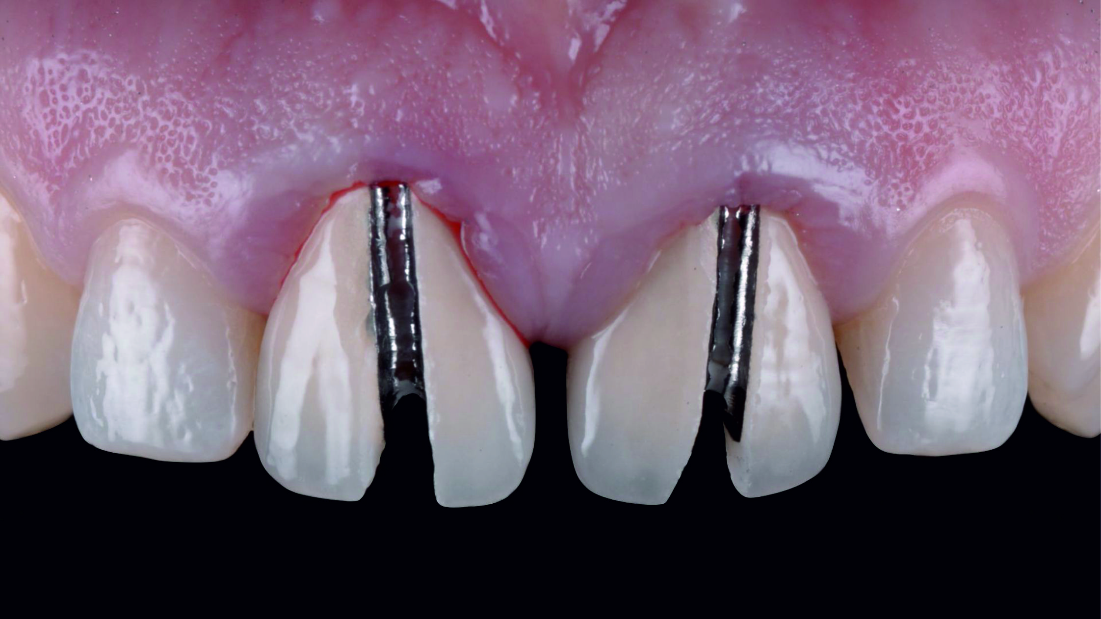
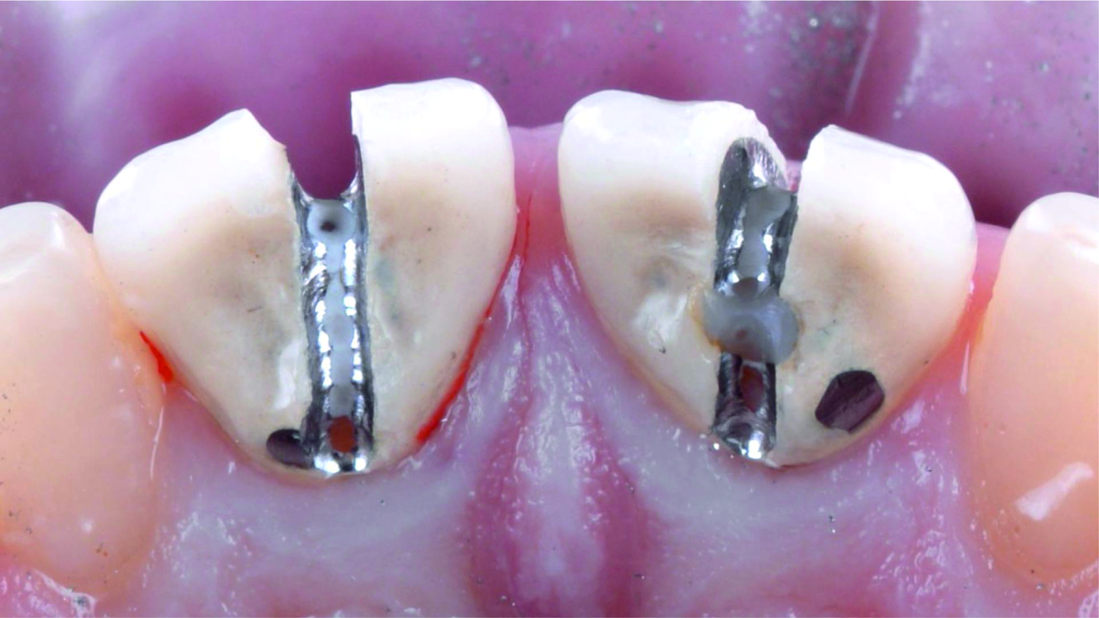
Фото 6. Старі коронки були акуратно розпиляні, щоб уникнути пошкодження кукс опорних зубів.
Фото 7.
Фото 8. Після видалення штучних коронок видно, що кукси відпрепаровані з надлишком.Фото 9. Після усунення цементу, який залишився, та установки ретракційної нитки можна розглянути під’ясенну зону препарування, яка має різну глибину занурення, значно більше виражену в проксимальних ділянках кукс.
Фото 10. Проаналізувавши початкову ситуацію, можна сказати, що нам ще треба виконати низку складних маніпуляцій для препарування, встановлення тимчасових конструкцій, зняття відбитка та фіксації готових конструкцій.
Фото 11. Кукси реконструювали за допомогою композитного матеріалу і заново відпрепарували на тому ж рівні висоти шийки, на якому вони були відпрепаровані раніше.
Фото 12. Під час того ж візиту були виготовлені тимчасові реставрації.
Фото 13. За місяць, під час повторного відвідування було помітне поліпшення стану ясен: запалення зменшилося, а кровотечі у процесі зондування не було. Можна впевнено сказати, що зараз – саме час приступити до процедури подовження клінічної коронки зуба, щоб обидва центральні різці мали однаковий рівень ясен. 
Фото 14. Під час подовження коронкової частини як орієнтир використовували хірургічний шаблон. Цю процедуру виконав д-р Bogdan Baldea.
Фото 15. Під час того ж відвідування межа препарування щічної поверхні зуба 2.1 була зміщена в апікальному напрямку, тобто розташована на одному рівні з яснами в області зуба 1.1.
Тимчасові коронки були виготовлені повторно.  
Фото 16. Під час повторного візиту за місяць було видно, що ясна у зоні зуба 2.1 загоїлися в новому стабільному положенні.
Також була змінена форма медіальних поверхонь латеральних різців прямим методом за допомогою композита. Це дозволило оптимізувати ширину відстаней між фронтальними зубами. Також ми запропонували пацієнтці закрити діастему. Але пацієнтка вважає, що це – одна з її характерних особливостей, і тому вирішила її зберегти.
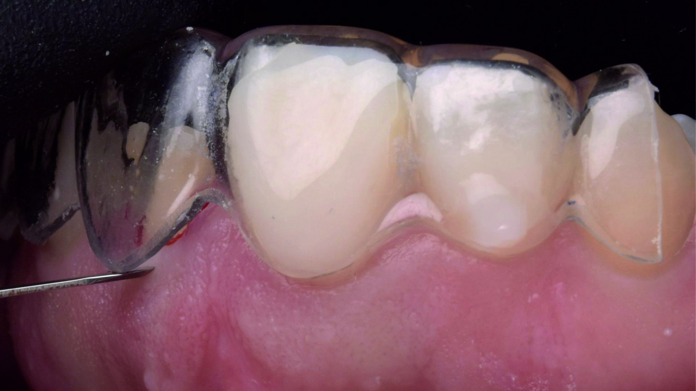
Фото 17. Як відомо, однією з найважливіших умов отримання точного відбитка, про які ми повинні пам'ятати, є контроль рідин і стан пародонта. Тканини пародонта виглядають здоровими, тому можна приступити до процедури зняття відбитка для виготовлення постійних реставрацій.
Фото 18. Після установки першої ретракційної нитки, просоченої хлоридом алюмінію, ми також виконали електрохірургічну підготовку і нанесли ретракційну пасту, сподіваючись отримати чіткі кордони препарування та добрий контроль виділення рідини.
Фото 19. Однак, незважаючи на всі наші старання, нам не вдалося забезпечити необхідні умови для отримання прогнозованого відбитка. У таких випадках, як цей, найкраще – це відкласти процедуру зняття відбитка, переробити або повторно виконати полірування тимчасових реставрацій та спробувати створити оптимальні умови для загоєння тканин пародонта.
Фото 20. За два тижні ситуація помітно покращилася, – тканина пародонта тепер здорова.
Фото 21. Проте залишилося кілька проблемних ділянок, тому що кордон препарування був глибоко розташованим, зокрема, у проксимальних зонах.
Фото 22. Щоб краще відкрити глибокі краї була використана техніка подвійної нитки. Це означає, що першу ретракційну нитку слід помістити в ясенну борозенку для вертикальної ретракції ясен і залишити там, а другу – частково занурити у борозенку для горизонтальної ретракції та видалити безпосередньо перед зняттям відбитка.
Фото 23. Тут видно, чим відрізняється ретракція ясен із використанням однієї нитки…
Фото 24. … від ретракції після видалення другої нитки.Фото 25. Існує безліч технік, які можна використовувати для передачі даних до лабораторії, але через низку причин найбільш надійною я вважаю одноетапну техніку, яка передбачає одночасне нанесення текучого матеріалу і маси-putty.
Однією з вимог, які слід виконати для отримання якісного результату з використанням одноетапної техніки, є використання найменш густої масу-putty, тому що в такому випадку плинний матеріал не буде витиснено масою-putty, і він точно зафіксує всі особливості.
Крім того, під час вибору відбиткового матеріалу слід звернути увагу на такі його характеристики, як робочий час і тривалість твердіння. У разі використання одноетапної техніки що більше робочий час, то краще.
Одним із кращих матеріалів із кола тих, які я коли-небудь використовував, є Honigum, який випускається компанією DMG і відповідає цим вимогам. 
Він має найбільш плинну масу-putty з усіх, з якими я працював. Зазвичай добра плинність маси-putty говорить про те, що матеріал має меншу стабільність параметрів, але у випадку з Honigum це не так, оскільки реологічно активна матриця, розроблена фахівцями DMG, успішно усуває та долає ці недоліки.
Завдяки розробленій DMG технології snap-set матеріал Honigum має такі властивості, як тривалий робочий час і швидке застигання. Тому він є зручним у роботі і не завдає незручностей пацієнтові.
Фото 26. Оцінка відбитка показала хорошу деталізацію кордону препарування кукс.
Фото 27.
Фото 28. Вільні кінчики ретракційної нитки, яку витягнули разом із відбитком, були обрізані.
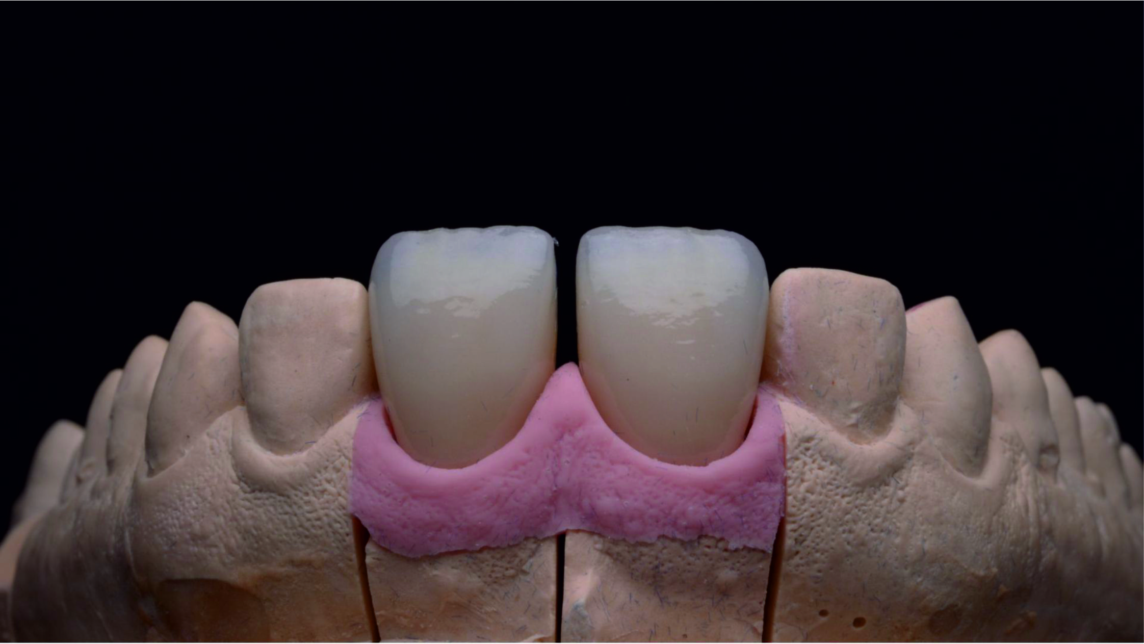
Фото 29. Виготовлені в лабораторії суцільнокерамічні реставрації з дисилікату літію.
Фото 30.
Фото 31. На етапі примірки ми перевірили реставрації щодо відповідності параметрів і форми, розрахованих нами за допомогою тимчасових конструкцій. Для цього ми встановили реставрації поруч одна з одною.
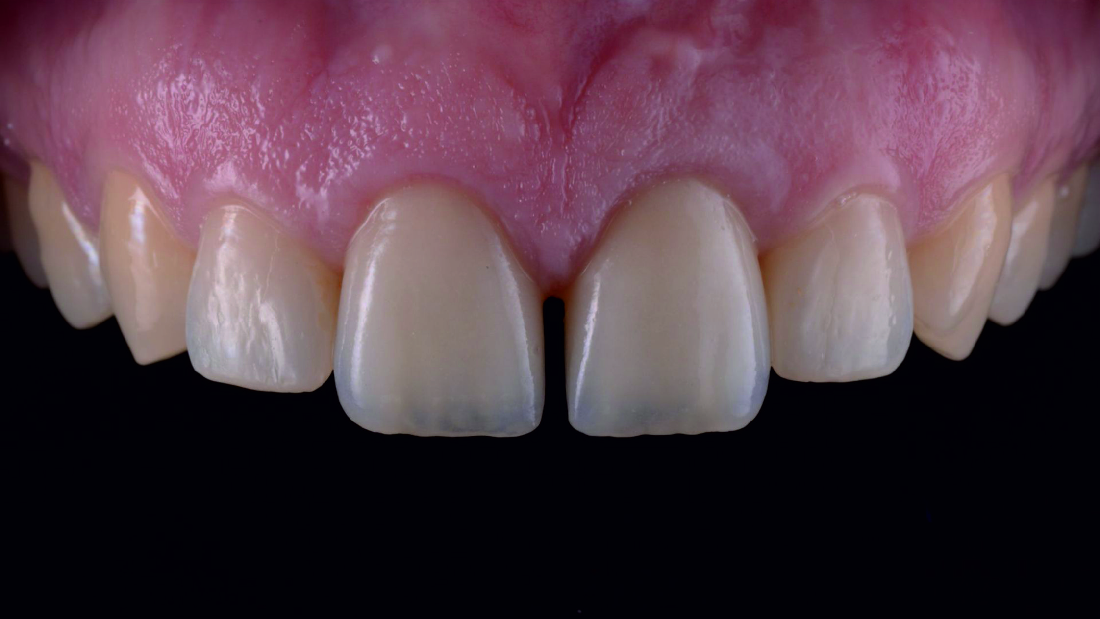
Фото 32. Примірка кінцевих реставрацій.
Фото 33.
Фото 34. На мою думку, для примірки постійної реставрації найкраще підходить інструмент LM Arte Fissura. Він дозволяє контролювати розташування країв і перевіряти точність посадки реставрації.Фото 35. Ізоляція для адгезивної процедури. Для фіксації постійних реставрацій використовували Variolink Esthetic DC виробництва Ivoclar.
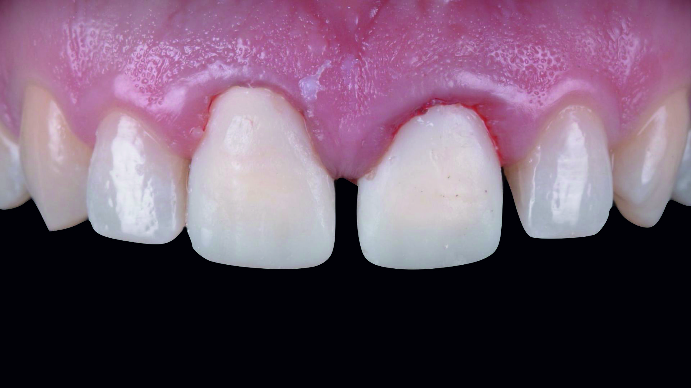
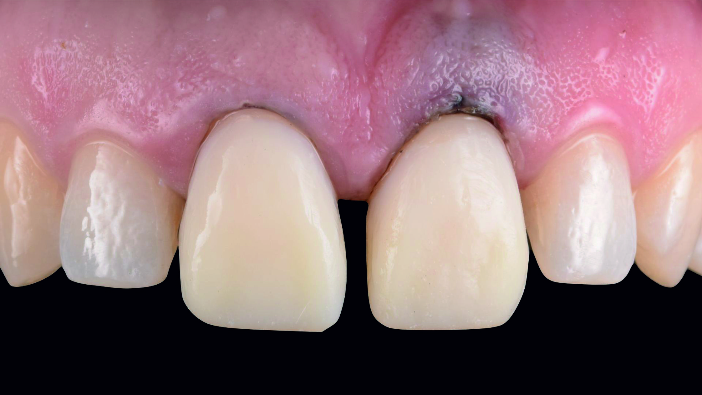
Фото 36. Вигляд під час повторного візиту за два тижні.
Фото 37. Новий профіль прорізування гарантує здоров'я ясен протягом тривалого часу.Фото 38. Порівняння з початковою ситуацією.
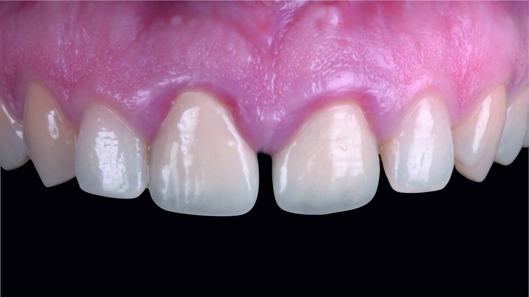
Фото 39. І кінцевий вигляд посмішки.
Фото 40. Посмішка задоволеної пацієнтки виправдовує всі наші старання.Верхні фронтальні зуби пацієнтки з посмішкою ясенного типу – це та ділянка, яка не прощає помилок, і де для отримання оптимального результату потрібно докласти максимум зусиль.
Завдяки технології snap-set компанії DMG і тривалому робочому часу ми можемо знімати точні відбитки навіть у найскладніших ситуаціях. 
За допомогою точного відбитка можна не тільки зробити посмішку красивою, але й гарантувати якісний результат на тривалий строк завдяки точній посадці реставрацій.

Опублікувати 09.03.2020
До разделу